• Tel: 858.663.9055
  • SeparatorEmail: info@nsjbio.com
  • Tel: 858.663.9055
  • Email: info@nsjbio.com
Home >> Antibodies >> ASS1 Antibody / Argininosuccinate synthetase 1

ASS1 Antibody / Argininosuccinate synthetase 1 [clone 7I9] (RQ6230)

  Catalog No Formulation Size Price (USD)  
Image RQ6230 0.5mg/ml if reconstituted with 0.2ml sterile DI water 100 ug 439
Bulk quote request
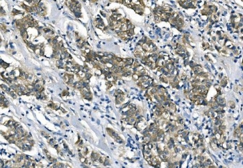
IHC staining of FFPE human breast cancer with ASS1 antibody. HIER: boil tissue sections in pH8 EDTA for 20 min and allow to cool before testing.
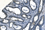
IHC staining of FFPE human prostate cancer with ASS1 antibody. HIER: boil tissue sections in pH8 EDTA for 20 min and allow to cool before testing.
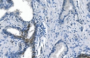
IHC staining of FFPE human colon cancer with ASS1 antibody. HIER: boil tissue sections in pH8 EDTA for 20 min and allow to cool before testing.
IHC staining of FFPE human liver cancer with ASS1 antibody. HIER: boil tissue sections in pH8 EDTA for 20 min and allow to cool before testing.
IHC staining of FFPE rat liver with ASS1 antibody. HIER: boil tissue sections in pH8 EDTA for 20 min and allow to cool before testing.
Immunofluorescent staining of FFPE human MCF7 cells with ASS1 antibody (green) and DAPI nuclear stain (blue). HIER: steam section in pH6 citrate buffer for 20 min.
Western blot testing of 1) human HeLa, 2) human HepG2, 3) human HEK293, 4) human ThP-1, 5) human T-47D, 6) monkey kidney, 7) rat liver, 8) rat kidney, 9) mouse liver and 10) mouse kidney lysate with ASS1 antibody. Predicted molecular weight ~46 kDa.
Flow cytometry testing of human SiHa cells with ASS1 antibody at 1ug/million cells (blocked with goat sera); Red=cells alone, Green=isotype control, Blue= ASS1 antibody.
Availability 1-3 business days
Species Reactivity Human, Mouse, Rat, Monkey
Format Antigen affinity purified
Clonality Monoclonal (mouse origin)
Isotype Mouse IgG2b
Clone Name 7I9
Purity Affinity purified
Buffer Lyophilized from 1X PBS with 2% Trehalose
UniProt P00966
Applications Western Blot : 1-2ug/ml
Immunohistochemistry (FFPE) : 2-5ug/ml
Immunofluorescence : 5ug/ml
Flow Cytometry : 1-3ug/million cells
Limitations This ASS1 antibody is available for research use only.
Review this product on BioCompare and get a $20 Amazon gift card

Related Products

Description

Argininosuccinate synthetase is an enzyme that in humans is encoded by the ASS1 gene. It is mapped to 9q34.11. The protein encoded by this gene catalyzes the penultimate step of the arginine biosynthetic pathway. There are approximately 10 to 14 copies of this gene including the pseudogenes scattered across the human genome, among which the one located on chromosome 9 appears to be the only functional gene for argininosuccinate synthetase. Mutations in the chromosome 9 copy of this gene cause citrullinemia. Two transcript variants encoding the same protein have been found for this gene.

Application Notes

Optimal dilution of the ASS1 antibody should be determined by the researcher.

Immunogen

A human recombinant partial protein (amino acids S3-S365) was used as the immunogen for the ASS1 antibody.

Storage

After reconstitution, the ASS1 antibody can be stored for up to one month at 4oC. For long-term, aliquot and store at -20oC. Avoid repeated freezing and thawing.

Cross
Bulk Quote Request Form
Name*:
Organization*:
Email*:
Phone Number*:
Catalog No.*:
Comments and Specifics(amount, formulation, etc.)*:
Validation code: Captchapackage Image


Can't read the image? click here to refresh.
    *required field

Your bulk quote request has been submitted successfully!

Please contact us if you have any questions.