• Tel: 858.663.9055
  • SeparatorEmail: info@nsjbio.com
  • Tel: 858.663.9055
  • Email: info@nsjbio.com
Home >> Antibodies >> ASPH Antibody

ASPH Antibody (R32203)

  Catalog No Formulation Size Price (USD)  
Image R32203 0.5mg/ml if reconstituted with 0.2ml sterile DI water 100 ug 439
Bulk quote request
Western blot testing of 1) rat brain, 2) rat liver, 3) human HeLa, 4) HepG2 and 5) mouse HEPA lysate with ASPH antibody. Predicted molecular weight ~86 kDa, observed here at ~100 kDa.
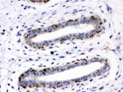
IHC testing of FFPE human breast cancer tissue with ASPH antibody. HIER: Boil the paraffin sections in pH 6, 10mM citrate buffer for 20 minutes and allow to cool prior to staining.
ICC staining of FFPE human A549 cells with ASPH antibody at 1ug/ml. HIER: Boil the paraffin sections in pH 6, 10mM citrate buffer for 20 minutes and allow to cool prior to staining.
Flow cytometry testing of human U-87 MG cells with ASPH antibody at 1ug/million cells (blocked with goat sera); Red=cells alone, Green=isotype control, Blue= ASPH antibody.
Flow cytometry testing of human HeLa cells with ASPH antibody at 1ug/million cells (blocked with goat sera); Red=cells alone, Green=isotype control, Blue= ASPH antibody.
Availability 1-3 business days
Species Reactivity Human, Mouse, Rat
Format Antigen affinity purified
Clonality Polyclonal (rabbit origin)
Isotype Rabbit IgG
Purity Antigen affinity
Buffer Lyophilized from 1X PBS with 2.5% BSA and 0.025% sodium azide
UniProt Q12797
Localization Cytoplasmic
Applications Western Blot : 0.1-0.5ug/ml
IHC (FFPE) : 0.5-1ug/ml
Immunocytochemistry : 1-2ug/ml
Flow Cytometry : 1-3ug/million cells
Limitations This ASPH antibody is available for research use only.
Review this product on BioCompare and get a $20 Amazon gift card

Description

ASPH is also known as Aspartyl/asparaginyl beta-hydroxylase or aspartate beta-hydroxylase. This gene is thought to play an important role in calcium homeostasis. And the gene is expressed from two promoters and undergoes extensive alternative splicing. The encoded set of proteins share varying amounts of overlap near their N-termini but have substantial variations in their C-terminal domains resulting in distinct functional properties. The longest isoforms (a and f) include a C-terminal Aspartyl/Asparaginyl beta-hydroxylase domain that hydroxylates aspartic acid or asparagine residues in the epidermal growth factor (EGF)-like domains of some proteins, including protein C, coagulation factors VII, IX, and X, and the complement factors C1R and C1S. Other isoforms differ primarily in the C-terminal sequence and lack the hydroxylase domain, and some have been localized to the endoplasmic and sarcoplasmic reticulum. Some of these isoforms are found in complexes with calsequestrin, triadin, and the ryanodine receptor, and have been shown to regulate calcium release from the sarcoplasmic reticulum. Some isoforms have been implicated in metastasis.

Application Notes

Optimal dilution of the ASPH antibody should be determined by the researcher.

Immunogen

Amino acids EVWQDASSFRLIFIVDVWHPELTPQQRRSLPAI of human ASPH were used as the immunogen for the ASPH antibody.

Storage

After reconstitution, the ASPH antibody can be stored for up to one month at 4oC. For long-term, aliquot and store at -20oC. Avoid repeated freezing and thawing.

Cross
Bulk Quote Request Form
Name*:
Organization*:
Email*:
Phone Number*:
Catalog No.*:
Comments and Specifics(amount, formulation, etc.)*:
Validation code: Captchapackage Image


Can't read the image? click here to refresh.
    *required field

Your bulk quote request has been submitted successfully!

Please contact us if you have any questions.