• Tel: 858.663.9055
  • SeparatorEmail: info@nsjbio.com
  • Tel: 858.663.9055
  • Email: info@nsjbio.com
Home >> Antibodies >> ASCL1 Antibody / Achaete-scute homolog 1

ASCL1 Antibody / Achaete-scute homolog 1 (FY12577)

  Catalog No Formulation Size Price (USD)  
Image FY12577 Adding 0.2 ml of distilled water will yield a concentration of 500 ug/ml 100 ug 439
Bulk quote request
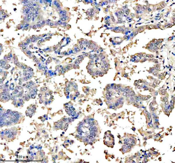
Immunohistochemical staining of ASCL1 using anti-ASCL1 antibody. ASCL1 was detected in a paraffin-embedded section of human lung cancer tissue. Heat mediated antigen retrieval was performed in EDTA buffer (pH 8.0, epitope retrieval solution). The tissue section was blocked with 10% goat serum. The tissue section was then incubated with 2 ug/ml rabbit anti-ASCL1 antibody overnight at 4oC. Peroxidase Conjugated Goat Anti-rabbit IgG was used as secondary antibody and incubated for 30 minutes at 37oC. The tissue section was developed using an HRP secondary and DAB substrate.
Western blot analysis of ASCL1 using anti-ASCL1 antibody. Lane 1: human K562 whole cell lysates, Lane 2: human U251 whole cell lysates, Lane 3: human PC-3 whole cell lysates, Lane 4: human NCL-H460 whole cell lysates, Lane 5: rat brain tissue lysates, Lane 6: rat PC-12 whole cell lysates, Lane 7: mouse brain tissue lysates, Lane 8: mouse Neuro-2a whole cell lysates. After electrophoresis, proteins were transferred to a nitrocellulose membrane at 150 mA for 50-90 minutes. Blocked the membrane with 5% non-fat milk/TBS for 1.5 hour at RT. The membrane was incubated with rabbit anti-ASCL1 antibody at 0.5 ug/ml overnight at 4oC, then washed with TBS-0.1%Tween 3 times with 5 minutes each and probed with a goat anti-rabbit IgG-HRP secondary antibody at a dilution of 1:5000 for 1.5 hour at RT. The signal was developed using enhanced chemiluminescent. A single band is detected at ~29–30 kDa, higher than the calculated ~25-26 kDa. The slower migration is consistent with known multisite phosphorylation of ASCL1.
Flow Cytometry analysis of K562 cells using anti-ASCL1 antibody. Overlay histogram showing K562 cells stained with (Blue line). To facilitate intracellular staining, cells were fixed with 4% paraformaldehyde and permeabilized with permeabilization buffer. The cells were blocked with 10% normal goat serum. And then incubated with rabbit anti-ASCL1 antibody (1 ug/million cells) for 30 min at 20oC. DyLight 488 conjugated goat anti-rabbit IgG (5-10 ug/million cells) was used as secondary antibody for 30 minutes at 20oC. Isotype control antibody (Green line) was rabbit IgG (1 ug/million cells) used under the same conditions. Unlabelled sample without incubation with primary antibody and secondary antibody (Red line) was used as a blank control.
Availability 1-2 days
Species Reactivity Human, Mouse, Rat
Format Lyophilized
Clonality Polyclonal (rabbit origin)
Isotype Rabbit IgG
Purity Immunogen affinity purified
Buffer Each vial contains 4 mg Trehalose, 0.9 mg NaCl, 0.2 mg Na2HPO4.
UniProt P50553
Localization Nuclear, cytoplasmic
Applications Western Blot : 0.25-0.5ug/ml
Immunohistochemistry : 2-5ug/ml
Flow Cytometry : 1-3ug/million cells
Limitations This ASCL1 antibody is available for research use only.
Review this product on BioCompare and get a $20 Amazon gift card

Related Products

Description

ASCL1 antibody detects Achaete-scute homolog 1, a basic helix-loop-helix (bHLH) transcription factor that directs neuronal differentiation and development. ASCL1 acts as a master regulator of neurogenesis by activating transcriptional programs required for neuronal commitment and inhibiting progenitor cell proliferation. The ASCL1 antibody is widely used in developmental biology, stem cell research, and neuro-oncology to examine neuronal fate specification and transcriptional regulation.

ASCL1 is encoded by the ASCL1 gene on human chromosome 12q23.2. The protein is approximately 194 amino acids long and contains a highly conserved bHLH domain that mediates DNA binding and dimerization with E proteins. ASCL1 recognizes E-box motifs within target gene promoters to activate transcription of neuronal genes, including those involved in axon guidance, neurotransmitter synthesis, and synaptic formation.

The ASCL1 antibody detects a 45 kilodalton protein by western blot and exhibits nuclear staining in differentiating neuronal populations. ASCL1 expression peaks during early neurogenesis and declines as cells mature into neurons. It functions in concert with other transcription factors such as NEUROD1 and POU3F2 to coordinate the transition from proliferating progenitors to postmitotic neurons.

In addition to its developmental role, ASCL1 is reactivated in neuroendocrine tumors such as small-cell lung carcinoma, where it drives expression of genes promoting proliferation and neuroendocrine identity. ASCL1 also serves as a key transcriptional reprogramming factor used to convert fibroblasts into induced neurons in vitro, illustrating its capacity to initiate neuronal gene networks in non-neural cells.

Because ASCL1 integrates differentiation and proliferation control, it serves as a critical model for studying lineage specification and transcriptional reprogramming. NSJ Bioreagents provides a validated ASCL1 antibody optimized for its applications, supporting research into neuronal differentiation, tumor biology, and transcriptional regulation.

Application Notes

Optimal dilution of the ASCL1 antibody should be determined by the researcher.

Immunogen

A synthetic peptide corresponding to a sequence at the C-terminus of human ASCL1 was used as the immunogen for the ASCL1 antibody.

Storage

After reconstitution, the ASCL1 antibody can be stored for up to one month at 4oC. For long-term, aliquot and store at -20oC. Avoid repeated freezing and thawing.

Cross
Bulk Quote Request Form
Name*:
Organization*:
Email*:
Phone Number*:
Catalog No.*:
Comments and Specifics(amount, formulation, etc.)*:
Validation code: Captchapackage Image


Can't read the image? click here to refresh.
    *required field

Your bulk quote request has been submitted successfully!

Please contact us if you have any questions.