• Tel: 858.663.9055
  • SeparatorEmail: info@nsjbio.com
  • Tel: 858.663.9055
  • Email: info@nsjbio.com
Home >> Antibodies >> Aryl Hydrocarbon Receptor Repressor Antibody / AHRR

Aryl Hydrocarbon Receptor Repressor Antibody / AHRR (RQ8461)

  Catalog No Formulation Size Price (USD)  
Image RQ8461 0.5mg/ml if reconstituted with 0.2ml sterile DI water 100 ug 439
Bulk quote request
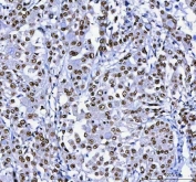
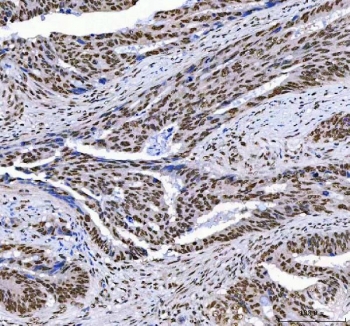
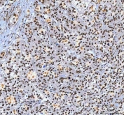
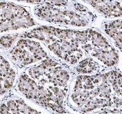
IHC staining of FFPE human colorectal adenocarcinoma tissue with Aryl Hydrocarbon Receptor Repressor antibody. HIER: boil tissue sections in pH8 EDTA for 20 min and allow to cool before testing.
IHC staining of FFPE human glioma tissue with Aryl Hydrocarbon Receptor Repressor antibody. HIER: boil tissue sections in pH8 EDTA for 20 min and allow to cool before testing.
IHC staining of FFPE human spleen tissue with Aryl Hydrocarbon Receptor Repressor antibody. HIER: boil tissue sections in pH8 EDTA for 20 min and allow to cool before testing.
IHC staining of FFPE human lung cancer tissue with Aryl Hydrocarbon Receptor Repressor antibody. HIER: boil tissue sections in pH8 EDTA for 20 min and allow to cool before testing.
IHC staining of FFPE human placental tissue with Aryl Hydrocarbon Receptor Repressor antibody. HIER: boil tissue sections in pH8 EDTA for 20 min and allow to cool before testing.
IHC staining of FFPE human bladder urothelial carcinoma tissue with Aryl Hydrocarbon Receptor Repressor antibody. HIER: boil tissue sections in pH8 EDTA for 20 min and allow to cool before testing.
IHC staining of FFPE human liver cancer tissue with Aryl Hydrocarbon Receptor Repressor antibody. HIER: boil tissue sections in pH8 EDTA for 20 min and allow to cool before testing.
Immunofluorescent staining of FFPE human HeLa cells with Aryl Hydrocarbon Receptor Repressor antibody (red) and Beta Tubulin mAb (green). HIER: steam section in pH6 citrate buffer for 20 min.
Western blot testing of human 1) ThP-1, 2) HeLa, 3) SiHa and 4) HEL cell lysate with Aryl Hydrocarbon Receptor Repressor antibody and Beta Actin loading control antibody. Predicted molecular weight: 76-78 kDa.
Flow cytometry testing of fixed and permeabilized human HEL cells with Aryl Hydrocarbon Receptor Repressor antibody at 1ug/million cells (blocked with goat sera); Red=cells alone, Green=isotype control, Blue= Aryl Hydrocarbon Receptor Repressor antibody.
Availability 1-3 days
Species Reactivity Human
Format Antigen affinity purified
Clonality Polyclonal (rabbit origin)
Isotype Rabbit IgG
Purity Antigen affinity purified
Buffer Lyophilized from 1X PBS with 2% Trehalose
UniProt A9YTQ3
Localization Nuclear, cytoplasmic
Applications Western Blot : 0.5-1ug/ml
Immunohistochemistry (FFPE) : 2-5ug/ml
Immunofluorescence : 5ug/ml
Flow Cytometry : 1-3ug/million cells
ELISA : 0.1-0.5ug/ml
Limitations This Aryl Hydrocarbon Receptor Repressor antibody is available for research use only.
Review this product on BioCompare and get a $20 Amazon gift card

Related Products

Description

The aryl-hydrocarbon receptor repressor also known as AHRR is a human gene. The protein encoded by this gene participates in the aryl hydrocarbon receptor (AhR) signaling cascade, which mediates dioxin toxicity, and is involved in regulation of cell growth and differentiation. It functions as a feedback modulator by repressing AhR-dependent gene expression. Alternatively spliced transcript variants encoding different isoforms have been described for this gene.

Application Notes

Optimal dilution of the Aryl Hydrocarbon Receptor Repressor antibody should be determined by the researcher.

Immunogen

An E.coli-derived human recombinant protein (amino acids K410-D665) was used as the immunogen for the Aryl Hydrocarbon Receptor Repressor antibody.

Storage

After reconstitution, the Aryl Hydrocarbon Receptor Repressor antibody can be stored for up to one month at 4oC. For long-term, aliquot and store at -20oC. Avoid repeated freezing and thawing.

Cross
Bulk Quote Request Form
Name*:
Organization*:
Email*:
Phone Number*:
Catalog No.*:
Comments and Specifics(amount, formulation, etc.)*:
Validation code: Captchapackage Image


Can't read the image? click here to refresh.
    *required field

Your bulk quote request has been submitted successfully!

Please contact us if you have any questions.