• Tel: 858.663.9055
  • SeparatorEmail: info@nsjbio.com
  • Tel: 858.663.9055
  • Email: info@nsjbio.com
Home >> Antibodies >> Aryl Hydrocarbon Receptor Antibody

Aryl Hydrocarbon Receptor Antibody (R34997)

  Catalog No Formulation Size Price (USD)  
Image R34997-100UG 0.5 mg/ml in 1X TBS, pH7.3, with 0.5% BSA (US sourced) and 0.02% sodium azide 100 ug 449
Bulk quote request
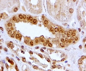
IHC testing of FFPE human kidney with Aryl Hydrocarbon Receptor antibody at 2ug/ml. HIER: steamed with pH6 citrate buffer, HRP-staining.
Availability 1-3 business days
Species Reactivity Human
Format Antigen affinity purified
Clonality Polyclonal (goat origin)
Isotype Goat Ig
Purity Antigen affinity
Gene ID 196
Applications Immunohistochemistry (FFPE) : 2-4ug/ml
ELISA (peptide) LOD : 1:1000
Limitations This Aryl Hydrocarbon Receptor antibody is available for research use only.
Review this product on BioCompare and get a $20 Amazon gift card

Related Products

Description

Additional name(s) for this target protein: AH receptor; AHR

Application Notes

Optimal dilution of the Aryl Hydrocarbon Receptor antibody should be determined by the researcher.

Immunogen

Amino acids PENQKHGLNPQSA were used as the immunogen for this Aryl Hydrocarbon Receptor antibody.

Storage

Aliquot and store the Aryl Hydrocarbon Receptor antibody at -20oC.

Cross
Bulk Quote Request Form
Name*:
Organization*:
Email*:
Phone Number*:
Catalog No.*:
Comments and Specifics(amount, formulation, etc.)*:
Validation code: Captchapackage Image


Can't read the image? click here to refresh.
    *required field

Your bulk quote request has been submitted successfully!

Please contact us if you have any questions.