• Tel: 858.663.9055
  • SeparatorEmail: info@nsjbio.com
  • Tel: 858.663.9055
  • Email: info@nsjbio.com
Home >> Antibodies >> ARPC2 Antibody

ARPC2 Antibody (R33883)

  Catalog No Formulation Size Price (USD)  
Image R33883-100UG 0.5 mg/ml in 1X TBS, pH7.3, with 0.5% BSA (US sourced) and 0.02% sodium azide 100 ug 449
Bulk quote request
Western blot testing of HeLa lysate with ARPC2 antibody at 0.2ug/ml. Predicted molecular weight: ~34kDa.
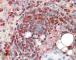
IHC staining of FFPE human spleen with ARPC2 antibody at 4ug/ml. HIER: steamed with pH6 citrate buffer, AP-staining.
Availability 1-3 business days
Species Reactivity Human
Predicted Reactivity Cow, Dog, Mouse, Rat
Format Antigen affinity purified
Clonality Polyclonal (goat origin)
Isotype Goat Ig
Purity Antigen affinity
Gene ID 10109
Applications Western Blot : 0.1-0.5ug/ml
Immunohistochemistry (FFPE) : 3-5ug/ml
ELISA (peptide) LOD : 1:32000
Limitations This ARPC2 antibody is available for research use only.
Review this product on BioCompare and get a $20 Amazon gift card

Description

Additional name(s) for this target protein: Actin related protein 2/3 complex, subunit 2

Application Notes

Optimal dilution of the ARPC2 antibody should be determined by the researcher.

Immunogen

Amino acids EMKTITGKTFSSR were used as the immunogen for this ARPC2 antibody.

Storage

Aliquot and store the ARPC2 antibody at -20oC.

Cross
Bulk Quote Request Form
Name*:
Organization*:
Email*:
Phone Number*:
Catalog No.*:
Comments and Specifics(amount, formulation, etc.)*:
Validation code: Captchapackage Image


Can't read the image? click here to refresh.
    *required field

Your bulk quote request has been submitted successfully!

Please contact us if you have any questions.