• Tel: 858.663.9055
  • SeparatorEmail: info@nsjbio.com
  • Tel: 858.663.9055
  • Email: info@nsjbio.com
Home >> Antibodies >> ARL2 Antibody / ADP-ribosylation factor-like protein 2

ARL2 Antibody / ADP-ribosylation factor-like protein 2 (FY12891)

  Catalog No Formulation Size Price (USD)  
Image FY12891 Adding 0.2 ml of distilled water will yield a concentration of 500 ug/ml 100 ug 439
Bulk quote request
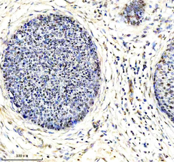
Immunohistochemical staining of using anti-ARL2 antibody. was detected in a paraffin-embedded section of human cervical cancer tissue. Heat mediated antigen retrieval was performed in EDTA buffer (pH 8.0, epitope retrieval solution). The tissue section was blocked with 10% goat serum. The tissue section was then incubated with 2 ug/ml rabbit anti-ARL2 antibody overnight at 4oC. Peroxidase Conjugated Goat Anti-rabbit IgG was used as secondary antibody and incubated for 30 minutes at 37oC. The tissue section was developed using an HRP secondary and DAB substrate.
Western blot analysis of using anti-ARL2 antibody. Lane 1: human T-47D whole cell lysates, Lane 2: human whole cell lysates, Lane 3: human U-397 whole cell lysates, Lane 4: human Hela whole cell lysates, Lane 5: rat liver tissue lysates, Lane 6: rat lung tissue lysates, Lane 7: mouse liver tissue lysates, Lane 8: mouse lung tissue lysates. After electrophoresis, proteins were transferred to a nitrocellulose membrane at 150 mA for 50-90 minutes. Blocked the membrane with 5% non-fat milk/TBS for 1.5 hour at RT. The membrane was incubated with rabbit anti-ARL2 antibody at 0.5 ug/ml overnight at 4oC, then washed with TBS-0.1%Tween 3 times with 5 minutes each and probed with a goat anti-rabbit IgG-HRP secondary antibody at a dilution of 1:5000 for 1.5 hour at RT. The signal was developed using enhanced chemiluminescent. ARL2 western blot across human and rodent samples shows a single band migrating at ~17-18 kDa. Although the predicted molecular weight is ~21 kDa, ARL2 commonly runs lower on standard Tris-glycine SDS-PAGE due to its small size and acidic nature, which cause faster electrophoretic migration. The observed band is consistent with full-length ARL2.
Immunofluorescent staining of using anti-ARL2 antibody (green). ARL2 was detected in an immunocytochemical section of human HELA cells. Enzyme antigen retrieval was performed using IHC enzyme antigen retrieval reagent for 15 mins. The cells were blocked with 10% goat serum. And then incubated with 5 ug/ml rabbit anti-ARL2 antibody overnight at 4oC. DyLight 488 Conjugated Goat Anti-Rabbit IgG was used as secondary antibody at 1:500 dilution and incubated for 30 minutes at 37oC. The section was counterstained with DAPI nuclear stain (blue). Visualize using a fluorescence microscope and filter sets appropriate for the label used.
Flow Cytometry analysis of human JK cells using anti-ARL2 antibody. Overlay histogram showing JK cells stained with (Blue line). To facilitate intracellular staining, cells were fixed with 4% paraformaldehyde and permeabilized with permeabilization buffer. The cells were blocked with 10% normal goat serum. And then incubated with rabbit anti-ARL2 antibody (1 ug/million cells) for 30 min at 20oC. DyLight 488 conjugated goat anti-rabbit IgG (5-10 ug/million cells) was used as secondary antibody for 30 minutes at 20oC. Isotype control antibody (Green line) was rabbit IgG (1 ug/million cells) used under the same conditions. Unlabelled sample without incubation with primary antibody and secondary antibody (Red line) was used as a blank control.
Availability 1-2 days
Species Reactivity Human, Mouse, Rat
Format Lyophilized
Clonality Polyclonal (rabbit origin)
Isotype Rabbit IgG
Purity Immunogen affinity purified
Buffer Each vial contains 4 mg Trehalose, 0.9 mg NaCl, 0.2 mg Na2HPO4.
UniProt P36404
Localization Cytoplasmic, Nuclear
Applications Western Blot : 0.25-0.5ug/ml
Immunohistochemistry : 2-5ug/ml
Immunocytochemistry : 5ug/ml
Immunofluorescence : 5ug/ml
Flow Cytometry : 1-3ug/million cells
Limitations This ARL2 antibody is available for research use only.
Review this product on BioCompare and get a $20 Amazon gift card

Related Products

  • Applications : WB, ELISA (peptide)
    Reactivity : Human
    Pred. Reactivity : Dog

Description

ARL2 antibody detects ADP-ribosylation factor-like protein 2, a small GTP-binding protein involved in microtubule dynamics, mitochondrial function, and intracellular transport. Encoded by the ARL2 gene on chromosome 11q13.2, this evolutionarily conserved member of the ARF family of GTPases cycles between active GTP-bound and inactive GDP-bound states to regulate cytoskeletal organization and vesicle trafficking. ARL2 participates in essential cellular processes ranging from ciliary assembly to energy metabolism.

Structurally, ARL2 is a 184-amino-acid cytosolic protein of approximately 21 kilodaltons containing the characteristic GTP-binding motifs (G1-G5 boxes) required for nucleotide exchange and hydrolysis. It interacts with cofactors such as cofactor D (TBCD) and cofactor E (TBCE) to modulate tubulin folding and polymerization. ARL2 localizes to both cytoplasm and mitochondria, where it forms complexes that support microtubule stability and mitochondrial fusion.

The ARL2 antibody is widely used in cell biology, neurobiology, and mitochondrial research to study small GTPase signaling, cytoskeletal organization, and intracellular trafficking. Western blot analysis detects a 21 kilodalton band corresponding to ARL2, while immunofluorescence demonstrates cytoplasmic and mitochondrial staining patterns. This antibody provides a dependable tool for monitoring ARL2-mediated control of tubulin dynamics and organelle function.

Functionally, ARL2 regulates the folding of alpha and beta tubulin heterodimers, supporting microtubule assembly critical for intracellular transport and cell division. Within mitochondria, ARL2 influences fusion, morphology, and ATP production by interacting with proteins such as ANT1 and ELMOD2. Dysregulation of ARL2 expression affects mitochondrial integrity, axonal transport, and cell viability. In neurons, ARL2 contributes to microtubule-based trafficking of synaptic vesicles and organelles. The ARL2 antibody enables analysis of these processes and provides insights into cytoskeletal and metabolic coordination. NSJ Bioreagents validates this antibody for its applications, ensuring reliable and sensitive detection for GTPase and mitochondrial studies.

Application Notes

Optimal dilution of the ARL2 antibody should be determined by the researcher.

Immunogen

A synthetic peptide corresponding to a sequence at the C-terminus of human ARL2 was used as the immunogen for the ARL2 antibody.

Storage

After reconstitution, the ARL2 antibody can be stored for up to one month at 4oC. For long-term, aliquot and store at -20oC. Avoid repeated freezing and thawing.

Cross
Bulk Quote Request Form
Name*:
Organization*:
Email*:
Phone Number*:
Catalog No.*:
Comments and Specifics(amount, formulation, etc.)*:
Validation code: Captchapackage Image


Can't read the image? click here to refresh.
    *required field

Your bulk quote request has been submitted successfully!

Please contact us if you have any questions.