• Tel: 858.663.9055
  • SeparatorEmail: info@nsjbio.com
  • Tel: 858.663.9055
  • Email: info@nsjbio.com
Home >> Antibodies >> ARK1C1 Antibody / Aldo-keto Reductase Family 1 Member C1

ARK1C1 Antibody / Aldo-keto Reductase Family 1 Member C1 [clone AKR1C1/9069] (V5583)

  Catalog No Formulation Size Price (USD)  
Image V5583-100UG 0.2 mg/ml in 1X PBS with 0.1 mg/ml BSA (US sourced), 0.05% sodium azide 100 ug 539
Image
V5583-20UG 0.2 mg/ml in 1X PBS with 0.1 mg/ml BSA (US sourced), 0.05% sodium azide 20 ug 249
Image
V5583SAF-100UG 1 mg/ml in 1X PBS; BSA free, sodium azide free 100 ug 539
Bulk quote request
Western blot testing of human HepG2 cell lysate using AKR1C1 antibody (clone AKR1C1/9069). Predicted molecular weight ~37 kDa.
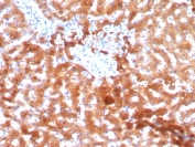
IHC staining of FFPE human hepatocellular carcinoma tissue with AKR1C1 antibody (clone AKR1C1/9069). HIER: boil tissue sections in pH 9 10mM Tris with 1mM EDTA for 20 min and allow to cool before testing.
SDS-PAGE analysis of purified, BSA-free AKR1C1 antibody (clone AKR1C1/9069) as confirmation of integrity and purity.
Availability 1-3 business days
Species Reactivity Human
Format Purified
Clonality Monoclonal (mouse origin)
Isotype Mouse IgG2b, kappa
Clone Name AKR1C1/9069
Purity Protein A/G affinity
UniProt Q04828
Localization Cytoplasm
Applications Immunohistochemistry (FFPE) : 1-2ug/ml
Western Blot : 2-4ug/ml
Limitations This ARK1C1 antibody is available for research use only.
Review this product on BioCompare and get a $20 Amazon gift card

Related Products

Description

DDH / AKR1C1 is a member of the aldo/keto reductase superfamily, which consists of more than 40 known enzymes and proteins. These enzymes catalyze the conversion of aldehydes and ketones to their corresponding alcohols by utilizing NADH and/or NADPH as cofactors. The enzymes display overlapping but distinct substrate specificity. This enzyme catalyzes the reaction of progesterone to the inactive form 20-alpha-hydroxy-progesterone.

Application Notes

Optimal dilution of the ARK1C1 antibody should be determined by the researcher.

Immunogen

Recombinant human full-length AKR1C1 protein was used as the immunogen for the ARK1C1 antibody.

Storage

Aliquot the ARK1C1 antibody and store frozen at -20oC or colder. Avoid repeated freeze-thaw cycles.

Cross
Bulk Quote Request Form
Name*:
Organization*:
Email*:
Phone Number*:
Catalog No.*:
Comments and Specifics(amount, formulation, etc.)*:
Validation code: Captchapackage Image


Can't read the image? click here to refresh.
    *required field

Your bulk quote request has been submitted successfully!

Please contact us if you have any questions.