• Tel: 858.663.9055
  • SeparatorEmail: info@nsjbio.com
  • Tel: 858.663.9055
  • Email: info@nsjbio.com
Home >> Antibodies >> ARHGEF7 Antibody / Beta-Pix / Rho guanine nucleotide exchange factor 7

ARHGEF7 Antibody / Beta-Pix / Rho guanine nucleotide exchange factor 7 (FY12862)

  Catalog No Formulation Size Price (USD)  
Image FY12862 Adding 0.2 ml of distilled water will yield a concentration of 500 ug/ml 100 ug 439
Bulk quote request
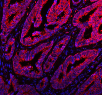
Immunofluorescent staining of FFPE human colon cancer tissue with ARHGEF7 antibody (red) and DAPI nuclear stain (blue). HIER: steam section in pH8 EDTA buffer for 20 min.
Immunofluorescent staining of FFPE human prostate cancer tissue with ARHGEF7 antibody (red) and DAPI nuclear stain (blue). HIER: steam section in pH8 EDTA buffer for 20 min.
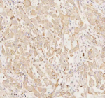
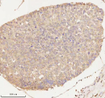
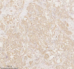
Immunohistochemical staining of ARHGEF7 using anti-ARHGEF7 antibody. ARHGEF7 was detected in a paraffin-embedded section of human liver cancer tissue. Heat mediated antigen retrieval was performed in EDTA buffer (pH 8.0, epitope retrieval solution). The tissue section was blocked with 10% goat serum. The tissue section was then incubated with 2 ug/ml rabbit anti-ARHGEF7 antibody overnight at 4oC. Peroxidase Conjugated Goat Anti-rabbit IgG was used as secondary antibody and incubated for 30 minutes at 37oC. The tissue section was developed using an HRP secondary and DAB substrate.
Immunohistochemical staining of ARHGEF7 using anti-ARHGEF7 antibody. ARHGEF7 was detected in a paraffin-embedded section of human lung adenocarcinoma tissue. Heat mediated antigen retrieval was performed in EDTA buffer (pH 8.0, epitope retrieval solution). The tissue section was blocked with 10% goat serum. The tissue section was then incubated with 2 ug/ml rabbit anti-ARHGEF7 antibody overnight at 4oC. Peroxidase Conjugated Goat Anti-rabbit IgG was used as secondary antibody and incubated for 30 minutes at 37oC. The tissue section was developed using an HRP secondary and DAB substrate.
Immunohistochemical staining of ARHGEF7 using anti-ARHGEF7 antibody. ARHGEF7 was detected in a paraffin-embedded section of human lung adenocarcinoma tissue. Heat mediated antigen retrieval was performed in EDTA buffer (pH 8.0, epitope retrieval solution). The tissue section was blocked with 10% goat serum. The tissue section was then incubated with 2 ug/ml rabbit anti-ARHGEF7 antibody overnight at 4oC. Peroxidase Conjugated Goat Anti-rabbit IgG was used as secondary antibody and incubated for 30 minutes at 37oC. The tissue section was developed using an HRP secondary and DAB substrate.
Immunohistochemical staining of ARHGEF7 using anti-ARHGEF7 antibody. ARHGEF7 was detected in a paraffin-embedded section of human prostate adenocarcinoma tissue. Heat mediated antigen retrieval was performed in EDTA buffer (pH 8.0, epitope retrieval solution). The tissue section was blocked with 10% goat serum. The tissue section was then incubated with 2 ug/ml rabbit anti-ARHGEF7 antibody overnight at 4oC. Peroxidase Conjugated Goat Anti-rabbit IgG was used as secondary antibody and incubated for 30 minutes at 37oC. The tissue section was developed using an HRP secondary and DAB substrate.
Immunohistochemical staining of ARHGEF7 using anti-ARHGEF7 antibody. ARHGEF7 was detected in a paraffin-embedded section of human prostate adenocarcinoma tissue. Heat mediated antigen retrieval was performed in EDTA buffer (pH 8.0, epitope retrieval solution). The tissue section was blocked with 10% goat serum. The tissue section was then incubated with 2 ug/ml rabbit anti-ARHGEF7 antibody overnight at 4oC. Peroxidase Conjugated Goat Anti-rabbit IgG was used as secondary antibody and incubated for 30 minutes at 37oC. The tissue section was developed using an HRP secondary and DAB substrate.
Immunohistochemical staining of ARHGEF7 using anti-ARHGEF7 antibody. ARHGEF7 was detected in a paraffin-embedded section of human rectum adenocarcinoma tissue. Heat mediated antigen retrieval was performed in EDTA buffer (pH 8.0, epitope retrieval solution). The tissue section was blocked with 10% goat serum. The tissue section was then incubated with 2 ug/ml rabbit anti-ARHGEF7 antibody overnight at 4oC. Peroxidase Conjugated Goat Anti-rabbit IgG was used as secondary antibody and incubated for 30 minutes at 37oC. The tissue section was developed using an HRP secondary and DAB substrate.
Immunohistochemical staining of ARHGEF7 using anti-ARHGEF7 antibody. ARHGEF7 was detected in a paraffin-embedded section of human rectum adenocarcinoma tissue. Heat mediated antigen retrieval was performed in EDTA buffer (pH 8.0, epitope retrieval solution). The tissue section was blocked with 10% goat serum. The tissue section was then incubated with 2 ug/ml rabbit anti-ARHGEF7 antibody overnight at 4oC. Peroxidase Conjugated Goat Anti-rabbit IgG was used as secondary antibody and incubated for 30 minutes at 37oC. The tissue section was developed using an HRP secondary and DAB substrate.
Immunohistochemical staining of ARHGEF7 using anti-ARHGEF7 antibody. ARHGEF7 was detected in a paraffin-embedded section of human testicular seminoma tissue. Heat mediated antigen retrieval was performed in EDTA buffer (pH 8.0, epitope retrieval solution). The tissue section was blocked with 10% goat serum. The tissue section was then incubated with 2 ug/ml rabbit anti-ARHGEF7 antibody overnight at 4oC. Peroxidase Conjugated Goat Anti-rabbit IgG was used as secondary antibody and incubated for 30 minutes at 37oC. The tissue section was developed using an HRP secondary and DAB substrate.
Western blot analysis of ARHGEF7 using anti-ARHGEF7 antibody. Lane 1: human Jurkat whole cell lysates, Lane 2: human Hela whole cell lysates, Lane 3: human 293T whole cell lysates, Lane 4: rat PC-12 whole cell lysates, Lane 5: mouse skeletal muscle lysates, Lane 6: mouse NIH/3T3 whole cell lysates. After electrophoresis, proteins were transferred to a nitrocellulose membrane at 150 mA for 50-90 minutes. Blocked the membrane with 5% non-fat milk/TBS for 1.5 hour at RT. The membrane was incubated with rabbit anti-ARHGEF7 antibody at 0.5 ug/ml overnight at 4oC, then washed with TBS-0.1%Tween 3 times with 5 minutes each and probed with a goat anti-rabbit IgG-HRP secondary antibody at a dilution of 1:5000 for 1.5 hour at RT. The signal was developed using enhanced chemiluminescent. ARHGEF7 (Beta-Pix) western blot across human and mouse samples shows a tight doublet at ~80 kDa. The paired bands are consistent with co-existing Beta-Pix isoforms and differential phosphorylation, a well-described feature of this scaffold GEF.
Immunofluorescent staining of FFPE human HeLa cells with ARHGEF7 antibody (green) and DAPI nuclear stain (blue). HIER: steam section in pH6 citrate buffer for 20 min.
Flow cytometry analysis of fixed and permeabilized human ThP-1 cells with ARHGEF7 antibody at 1ug/million cells (blocked with goat sera); Red=cells alone, Green=isotype control, Blue= ARHGEF7 antibody.
Availability 1-2 days
Species Reactivity Human, Mouse, Rat
Format Lyophilized
Clonality Polyclonal (rabbit origin)
Isotype Rabbit IgG
Purity Immunogen affinity purified
Buffer Each vial contains 4 mg Trehalose, 0.9 mg NaCl, 0.2 mg Na2HPO4.
UniProt Q14155
Localization Cytoplasm
Applications Western Blot : 0.25-0.5ug/ml
Immunohistochemistry : 2-5ug/ml
Immunocytochemistry : 5ug/ml
Immunofluorescence : 5ug/ml
Flow Cytometry : 1-3ug/million cells
ELISA : 0.1-0.5ug/ml
Limitations This ARHGEF7 antibody is available for research use only.
Review this product on BioCompare and get a $20 Amazon gift card

Description

ARHGEF7 antibody detects Rho guanine nucleotide exchange factor 7, a cytoskeletal signaling protein that regulates Rho GTPase activation, cell adhesion, and migration. Encoded by the ARHGEF7 gene on chromosome 13q34, this protein-also known as Beta-PIX (PAK-interacting exchange factor beta)-functions as a guanine nucleotide exchange factor (GEF) for the small GTPases Rac1 and Cdc42. Through these interactions, ARHGEF7 controls actin cytoskeleton remodeling, focal adhesion turnover, and lamellipodia formation essential for cell motility and morphology.

Structurally, ARHGEF7 contains several modular domains, including an SH3 domain that interacts with PAK kinases, a DH (Dbl homology) domain responsible for nucleotide exchange activity, and a PH (pleckstrin homology) domain that binds phosphoinositides for membrane targeting. These domains enable ARHGEF7 to act as a scaffold connecting small GTPases, kinases, and adhesion proteins such as GIT1 and paxillin. It localizes predominantly at focal adhesions and synaptic sites, integrating extracellular signals with intracellular cytoskeletal responses.

The ARHGEF7 antibody is widely used in cell signaling, cancer biology, and neurobiology research to study cytoskeletal organization, cell motility, and synaptic regulation. Western blot analysis detects a 76 kilodalton band corresponding to ARHGEF7, while immunofluorescence reveals punctate staining along the cell cortex, focal adhesions, and neuronal synapses. This antibody supports exploration of actin dynamics and Rho GTPase signaling in both normal and pathological contexts.

Functionally, ARHGEF7 interacts with p21-activated kinases (PAKs) to form complexes that control Rac1/Cdc42 activation and downstream signaling to the MAPK and JNK pathways. In neurons, it contributes to dendritic spine formation and synaptic plasticity by linking postsynaptic density proteins to actin assembly machinery. Dysregulation of ARHGEF7 has been associated with cancer metastasis, psychiatric disorders, and developmental defects due to altered Rho signaling. The ARHGEF7 antibody provides a dependable tool for dissecting these pathways and quantifying GEF expression in various models. NSJ Bioreagents validates this antibody for its applications, ensuring robust performance for cytoskeletal and signaling studies.

Application Notes

Optimal dilution of the ARHGEF7 antibody should be determined by the researcher.

Immunogen

E.coli-derived human ARHGEF7 recombinant protein (Position: S25-N637) was used as the immunogen for the ARHGEF7 antibody.

Storage

After reconstitution, the ARHGEF7 antibody can be stored for up to one month at 4oC. For long-term, aliquot and store at -20oC. Avoid repeated freezing and thawing.

Cross
Bulk Quote Request Form
Name*:
Organization*:
Email*:
Phone Number*:
Catalog No.*:
Comments and Specifics(amount, formulation, etc.)*:
Validation code: Captchapackage Image


Can't read the image? click here to refresh.
    *required field

Your bulk quote request has been submitted successfully!

Please contact us if you have any questions.