• Tel: 858.663.9055
  • SeparatorEmail: info@nsjbio.com
  • Tel: 858.663.9055
  • Email: info@nsjbio.com
Home >> Antibodies >> ARHGAP45 Antibody / Rho GTPase-activating protein 45

ARHGAP45 Antibody / Rho GTPase-activating protein 45 (RQ7145)

  Catalog No Formulation Size Price (USD)  
Image RQ7145 0.5mg/ml if reconstituted with 0.2ml sterile DI water 100 ug 439
Bulk quote request
IHC staining of FFPE human B lymphocytic tumor tissue with ARHGAP45 antibody. HIER: boil tissue sections in pH8 EDTA for 20 min and allow to cool before testing.
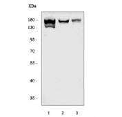
Western blot testing of human 1) HeLa, 2) Raji and 3) A549 cell lysate with ARHGAP45 antibody. Predicted molecular weight ~125 kDa but can be observed at higher molecular weights.
Flow cytometry testing of human SiHa cells with ARHGAP45 antibody at 1ug/million cells (blocked with goat sera); Red=cells alone, Green=isotype control, Blue= ARHGAP45 antibody.
Availability 1-3 business days
Species Reactivity Human
Format Antigen affinity purified
Clonality Polyclonal (rabbit origin)
Isotype Rabbit IgG
Purity Antigen affinity purified
Buffer Lyophilized from 1X PBS with 2% Trehalose
UniProt Q92619
Localization Cytoplasmic
Applications Western Blot : 0.5-1ug/ml
Immunohistochemistry (FFPE) : 2-5ug/ml
Flow Cytometry : 1-3ug/million cells
Direct ELISA : 0.1-0.5ug/ml
Limitations This ARHGAP45 antibody is available for research use only.
Review this product on BioCompare and get a $20 Amazon gift card

Description

Predicted to enable GTPase activator activity. Predicted to be involved in activation of GTPase activity.

Application Notes

Optimal dilution of the ARHGAP45 antibody should be determined by the researcher.

Immunogen

Recombinant human protein (amino acids D111-E349) was used as the immunogen for the ARHGAP45 antibody.

Storage

After reconstitution, the ARHGAP45 antibody can be stored for up to one month at 4oC. For long-term, aliquot and store at -20oC. Avoid repeated freezing and thawing.

Cross
Bulk Quote Request Form
Name*:
Organization*:
Email*:
Phone Number*:
Catalog No.*:
Comments and Specifics(amount, formulation, etc.)*:
Validation code: Captchapackage Image


Can't read the image? click here to refresh.
    *required field

Your bulk quote request has been submitted successfully!

Please contact us if you have any questions.