• Tel: 858.663.9055
  • SeparatorEmail: info@nsjbio.com
  • Tel: 858.663.9055
  • Email: info@nsjbio.com
Home >> Antibodies >> Argonaute 3 Antibody / AGO3

Argonaute 3 Antibody / AGO3 (RQ6311)

  Catalog No Formulation Size Price (USD)  
Image RQ6311 0.5mg/ml if reconstituted with 0.2ml sterile DI water 100 ug 439
Bulk quote request
Western blot testing of human K562 cell lysate with Argonaute 3 antibody. Predicted molecular weight ~97 kDa.
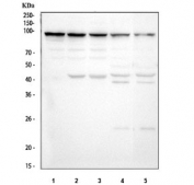
Western blot testing of 1) human K562, 2) human PC-3, 3) human Caco-2, 4) rat brain and 5) mouse brain tissue lysate with Argonaute 3 antibody. Predicted molecular weight ~97 kDa.
Immunofluorescent staining of FFPE human HeLa cells with Argonaute 3 antibody (red) and DAPI nuclear stain (blue). HIER: steam section in pH6 citrate buffer for 20 min.
Immunofluorescent staining of FFPE human U-2 OS cells with Argonaute 3 antibody (green) and DAPI nuclear stain (blue). HIER: steam section in pH6 citrate buffer for 20 min.
IHC staining of FFPE human cervical carcinoma tissue with Argonaute 3 antibody. HIER: boil tissue sections in pH8 EDTA for 20 min and allow to cool before testing.
IHC staining of FFPE rat brain tissue with Argonaute 3 antibody. HIER: boil tissue sections in pH8 EDTA for 20 min and allow to cool before testing.
Flow cytometry testing of fixed and permeabilized human Jurkat cells with Argonaute 3 antibody at 1ug/million cells (blocked with goat sera); Red=cells alone, Green=isotype control, Blue= Argonaute 3 antibody.
Availability 1-3 business days
Species Reactivity Human, Mouse, Rat
Format Purified
Clonality Polyclonal (rabbit origin)
Isotype Rabbit IgG
Purity Antigen affinity purified
Buffer Lyophilized from 1X PBS with 2% Trehalose
UniProt Q9H9G7
Localization Cytoplasmic
Applications Western Blot : 0.5-1ug/ml
Immunohistochemistry (FFPE) : 2-5ug/ml
Immunofluorescence (FFPE) : 5ug/ml
Flow Cytometry : 1-3ug/million cells
Direct ELISA : 0.1-0.5ug/ml
Limitations This Argonaute 3 antibody is available for research use only.
Review this product on BioCompare and get a $20 Amazon gift card

Related Products

Description

This gene encodes a member of the Argonaute family of proteins which play a role in RNA interference. The encoded protein is highly basic, contains a PAZ domain and a PIWI domain, and may play a role in short-interfering-RNA-mediated gene silencing. This gene is located on chromosome 1 in a tandem cluster of closely related family members including argonaute 4 and eukaryotic translation initiation factor 2C, 1. Two transcript variants encoding distinct isoforms have been identified for this gene.

Application Notes

Optimal dilution of the Argonaute 3 antibody should be determined by the researcher.

Immunogen

Recombinant human protein (amino acids M1-S181) was used as the immunogen for the Argonaute 3 antibody.

Storage

After reconstitution, the Argonaute 3 antibody can be stored for up to one month at 4oC. For long-term, aliquot and store at -20oC. Avoid repeated freezing and thawing.

Cross
Bulk Quote Request Form
Name*:
Organization*:
Email*:
Phone Number*:
Catalog No.*:
Comments and Specifics(amount, formulation, etc.)*:
Validation code: Captchapackage Image


Can't read the image? click here to refresh.
    *required field

Your bulk quote request has been submitted successfully!

Please contact us if you have any questions.