• Tel: 858.663.9055
  • SeparatorEmail: info@nsjbio.com
  • Tel: 858.663.9055
  • Email: info@nsjbio.com
Home >> Antibodies >> Argininosuccinate synthetase 1 Antibody

Argininosuccinate synthetase 1 Antibody (R33899)

  Catalog No Formulation Size Price (USD)  
Image R33899-100UG 0.5 mg/ml in 1X TBS, pH7.3, with 0.5% BSA (US sourced) and 0.02% sodium azide 100 ug 449
Bulk quote request
Western blot testing of human kidney lysate with Argininosuccinate synthetase 1 antibody at 0.03ug/ml. Predicted molecular weight: ~46 kDa.
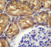
IHC staining of FFPE human kidney with Argininosuccinate synthetase 1 antibody at 2.5ug/ml. HIER: steamed with pH6 citrate buffer, AP-staining.
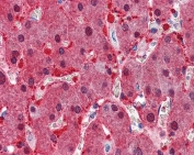
IHC staining of FFPE human liver with Argininosuccinate synthetase 1 antibody at 2.5ug/ml. HIER: steamed with pH6 citrate buffer, AP-staining.
Availability 1-3 business days
Species Reactivity Human, Cow
Predicted Reactivity Dog, Rat
Format Antigen affinity purified
Clonality Polyclonal (goat origin)
Isotype Goat Ig
Purity Antigen affinity
Gene ID 445
Localization Cytoplasmic
Applications Western Blot : 0.01-0.03ug/ml
Immunohistochemistry (FFPE) : 2-4ug/ml
Immunofluorescence : suitable
Immunoprecipitation : suitable
ELISA (peptide) LOD : 1:64000
Limitations This Argininosuccinate synthetase 1 antibody is available for research use only.
Review this product on BioCompare and get a $20 Amazon gift card

Related Products

Description

Additional name(s) for this target protein: Argininosuccinate synthetase; ASS1; ASS

Application Notes

Optimal dilution of the Argininosuccinate synthetase 1 antibody should be determined by the researcher.

Immunogen

Amino acids ENPKNQAPPGLYTKTQD were used as the immunogen for this Argininosuccinate synthetase 1 antibody.

Storage

Aliquot and store the Argininosuccinate synthetase 1 antibody at -20oC.

Cross
Bulk Quote Request Form
Name*:
Organization*:
Email*:
Phone Number*:
Catalog No.*:
Comments and Specifics(amount, formulation, etc.)*:
Validation code: Captchapackage Image


Can't read the image? click here to refresh.
    *required field

Your bulk quote request has been submitted successfully!

Please contact us if you have any questions.