• Tel: 858.663.9055
  • SeparatorEmail: info@nsjbio.com
  • Tel: 858.663.9055
  • Email: info@nsjbio.com
Home >> Antibodies >> ARG2 Antibody / Arginase 2

ARG2 Antibody / Arginase 2 (RQ6348)

  Catalog No Formulation Size Price (USD)  
Image RQ6348 0.5mg/ml if reconstituted with 0.2ml sterile DI water 100 ug 439
Bulk quote request
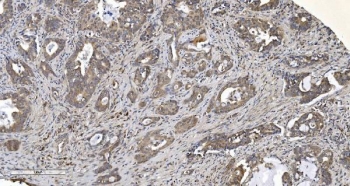
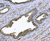
IHC staining of FFPE human gallbladder adenocarcinoma tissue with ARG2 antibody. HIER: boil tissue sections in pH8 EDTA for 20 min and allow to cool before testing.
IHC staining of FFPE human adrenocortical adenoma tissue with ARG2 antibody. HIER: boil tissue sections in pH8 EDTA for 20 min and allow to cool before testing.
IHC staining of FFPE human pancreatic cancer tissue with ARG2 antibody. HIER: boil tissue sections in pH8 EDTA for 20 min and allow to cool before testing.
IHC staining of FFPE human rectal cancer tissue with ARG2 antibody. HIER: boil tissue sections in pH8 EDTA for 20 min and allow to cool before testing.
Immunofluorescent staining of FFPE human HepG2 cells with ARG2 antibody (green) and DAPI nuclear stain (blue). HIER: steam section in pH6 citrate buffer for 20 min.
Western blot testing of 1) human HEK293, 2) SW620, 3) rat brain and 4) mouse kidney lysate with ANG2 antibody. Predicted molecular weight ~57 kDa.
Flow cytometry testing of human 293T cells with ANG2 antibody at 1ug/million cells (blocked with goat sera); Red=cells alone, Green=isotype control, Blue= ANG2 antibody.
Availability 1-3 business days
Species Reactivity Human, Mouse, Rat
Format Purified
Clonality Polyclonal (rabbit origin)
Isotype Rabbit IgG
Purity Antigen affinity purified
Buffer Lyophilized from 1X PBS with 2% Trehalose
UniProt P78540
Applications Western Blot : 0.5-1ug/ml
Immunohistochemistry (FFPE) : 2-5ug/ml
Immunofluorescence (FFPE) : 2-4ug/ml
Flow Cytometry : 1-3ug/million cells
Direct ELISA : 0.1-0.5ug/ml
Limitations This ARG2 antibody is available for research use only.
Review this product on BioCompare and get a $20 Amazon gift card

Related Products

  • Applications : WB, IHC-P
    Reactivity : Human
  • Applications : WB, IHC-P, IF, FACS, Direct ELISA
    Reactivity : Human, Mouse, Rat

Description

ARG2 (arginase, type II) encodes a 355-amino acid polypeptide. Using Northern blotting and RT-PCR, Vockley et al.(1996) found that ARG2 is expressed as a 1.5-kb mRNA in a wide variety of tissues, with highest levels of expression in prostate, brain, and kidney. By PCR analysis of somatic cell hybrid panels, fluorescence in situ hybridization, and radiation hybrid analysis, the ARG2 gene is mapped to 14q24.1-q24.3. ARG2 may be inducible and may be essential in the regulation of nitric oxide synthesis by modulating local arginine concentrations. Gotoh et al.(1996) showed thatARG2mRNA and nitric oxide synthase(NOS) mRNA were coinduced by lipopolysaccharide in a macrophage-like cell line. Arginase II has been implicated in the regulation of the arginine/ornithine concentrations in the cell. The mitochondrial location of ARG2 and its coinduction with ornithine aminotransferase and involvement with proline biosynthesis in lactating rat mammary gland had led to the inference that ARG2 is involved in biosynthetic functions, as opposed to the metabolic ones of the urea cycle.

Application Notes

Optimal dilution of the ARG2 antibody should be determined by the researcher.

Immunogen

Recombinant human protein (amino acids E43-A320) was used as the immunogen for the ARG2 antibody.

Storage

After reconstitution, the ARG2 antibody can be stored for up to one month at 4oC. For long-term, aliquot and store at -20oC. Avoid repeated freezing and thawing.

Cross
Bulk Quote Request Form
Name*:
Organization*:
Email*:
Phone Number*:
Catalog No.*:
Comments and Specifics(amount, formulation, etc.)*:
Validation code: Captchapackage Image


Can't read the image? click here to refresh.
    *required field

Your bulk quote request has been submitted successfully!

Please contact us if you have any questions.