• Tel: 858.663.9055
  • SeparatorEmail: info@nsjbio.com
  • Tel: 858.663.9055
  • Email: info@nsjbio.com
Home >> Antibodies >> Arg2 Antibody / Arginase 2

Arg2 Antibody / Arginase 2 (R30903)

  Catalog No Formulation Size Price (USD)  
Image R30903 0.5mg/ml if reconstituted with 0.2ml sterile DI water 100 ug 439
Bulk quote request
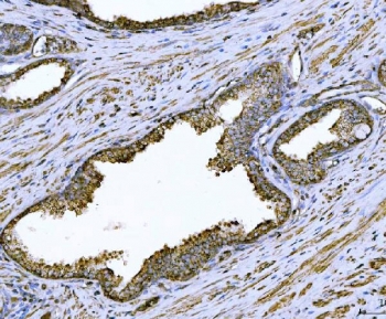
IHC staining of FFPE human prostate cancer tissue with Arg2 antibody. HIER: boil tissue sections in pH8 EDTA for 20 min and allow to cool before testing.
Western blot testing of human 1) 293T, 2) PC-3, 3) K562 and 4) HepG2 cell lysate with Arg2 antibody. Expected molecular weight ~38 kDa.
Availability 1-3 business days
Species Reactivity Human
Format Antigen affinity purified
Clonality Polyclonal (rabbit origin)
Isotype Rabbit IgG
Purity Antigen affinity
Buffer Lyophilized from 1X PBS with 2% Trehalose
UniProt P78540
Applications Western Blot : 0.5-1ug/ml
Immunohistochemistry (FFPE) : 2-5ug/ml
Limitations This Arg2 antibody is available for research use only.
Review this product on BioCompare and get a $20 Amazon gift card

Related Products

  • Applications : WB, IHC-P, IF, FACS, Direct ELISA
    Reactivity : Human, Mouse, Rat
  • Applications : WB, IHC-P, IF, FACS, Direct ELISA
    Reactivity : Human, Mouse, Rat

Description

Arginase, type II encodes a 355-amino acid polypeptide. Using Northern blotting and RT-PCR, Vockley et al.(1996) found that ARG2 is expressed as a 1.5-kb mRNA in a wide variety of tissues, with highest levels of expression in prostate, brain, and kidney. ARG2 may be inducible and may be essential in the regulation of nitric oxide synthesis by modulating local arginine concentrations. Gotoh et al.(1996) showed that ARG2 mRNA and nitric oxide synthase (NOS) mRNA were coinduced by lipopolysaccharide in a macrophage-like cell line. Arginase II has been implicated in the regulation of the arginine/ornithine concentrations in the cell. The mitochondrial location of the protein and its coinduction with ornithine aminotransferase and involvement with proline biosynthesis in lactating rat mammary gland had led to the inference that it is involved in biosynthetic functions, as opposed to the metabolic ones of the urea cycle.

Application Notes

The stated application concentrations are suggested starting amounts. Titration of the Arg2 antibody may be required due to differences in protocols and secondary/substrate sensitivity.

Immunogen

An amino acid sequence from the N-terminus of human Arginase II (DFGDLSFTPVPKDDLYNNL) was used as the immunogen for this Arg2 antibody.

Storage

After reconstitution, the Arg2 antibody can be stored for up to one month at 4oC. For long-term, aliquot and store at -20oC. Avoid repeated freezing and thawing.

Cross
Bulk Quote Request Form
Name*:
Organization*:
Email*:
Phone Number*:
Catalog No.*:
Comments and Specifics(amount, formulation, etc.)*:
Validation code: Captchapackage Image


Can't read the image? click here to refresh.
    *required field

Your bulk quote request has been submitted successfully!

Please contact us if you have any questions.