• Tel: 858.663.9055
  • SeparatorEmail: info@nsjbio.com
  • Tel: 858.663.9055
  • Email: info@nsjbio.com
Home >> Antibodies >> ARF1 Antibody / ADP-ribosylation factor 1

ARF1 Antibody / ADP-ribosylation factor 1 [clone 1A9/5] (V3811)

  Catalog No Formulation Size Price (USD)  
Image V3811-100UG 0.2 mg/ml in 1X PBS with 0.1 mg/ml BSA (US sourced) and 0.05% sodium azide 100 ug 539
Image
V3811-20UG 0.2 mg/ml in 1X PBS with 0.1 mg/ml BSA (US sourced) and 0.05% sodium azide 20 ug 249
Image
V3811SAF-100UG 1 mg/ml in 1X PBS; BSA free, sodium azide free 100 ug 539
Bulk quote request
Western blot testing of human HEK293 and HepG2 cell lysate with ARF1 antibody (clone 1A9/5). Predicted molecular weight ~21 kDa.
Western blot testing of human HeLa, kidney and HepG2 cell lysate with ARF1 antibody (clone 1A9/5). Predicted molecular weight ~21 kDa.
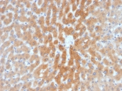
IHC testing of FFPE human liver tissue with ARF1 antibody (clone 1A9/5). HIER: boil tissue sections in pH6, 10mM citrate buffer, for 10-20 min followed by cooling at RT for 20 min.
SDS-PAGE analysis of purified, BSA-free ARF1 antibody (clone 1A9/5) as confirmation of integrity and purity.
Availability 1-3 business days
Species Reactivity Human, Mouse, Rat
Format Purified
Clonality Monoclonal (mouse origin)
Isotype Mouse IgG2a, kappa
Clone Name 1A9/5
Purity Protein G affinity chromatography
UniProt P84077
Localization Cytoplasmic (Golgi)
Applications Western Blot : 1-2ug/ml
Immunohistochemistry (FFPE) : 1-2ug/ml for 30 min at RT
Limitations This ARF1 antibody is available for research use only.
Review this product on BioCompare and get a $20 Amazon gift card

Related Products

Description

The ADP-ribosylation factor (ARF) family comprises a group of structurally and functionally conserved proteins, which are members of the Ras superfamily of regulatory GTP-binding proteins. The ARF family is divided functionally into the ARF and the ARF-like proteins. ARF s share more than 60% sequence identity, appear to be ubiquitous in eukaryotes, and are highly conserved evolutionarily. ARF is involved in intracellular protein traffic to and within the Golgi complex. ARF has a number of disparate activities including maintenance of organelle integrity, assembly of coat proteins, as a co-factor for cholera toxin and as an activator of phospholipase D.

Application Notes

Titering of the ARF1 antibody may be required for optimal performance.

Immunogen

The C-terminal amino acid sequence SNQLRNQ from the human protein was used as the immunogen for the ARF1 antibody.

Storage

Store the ARF1 antibody at 2-8oC (with azide) or aliquot and store at -20oC or colder (without azide).

Cross
Bulk Quote Request Form
Name*:
Organization*:
Email*:
Phone Number*:
Catalog No.*:
Comments and Specifics(amount, formulation, etc.)*:
Validation code: Captchapackage Image


Can't read the image? click here to refresh.
    *required field

Your bulk quote request has been submitted successfully!

Please contact us if you have any questions.