• Tel: 858.663.9055
  • SeparatorEmail: info@nsjbio.com
  • Tel: 858.663.9055
  • Email: info@nsjbio.com
Home >> Antibodies >> ARAF Antibody / A-Raf

ARAF Antibody / A-Raf (RQ4970)

  Catalog No Formulation Size Price (USD)  
Image RQ4970 0.5mg/ml if reconstituted with 0.2ml sterile DI water 100 ug 439
Bulk quote request
Immunofluorescent staining of FFPE human MCF7 cells with ARAF antibody (green) and DAPI nuclear stain (blue). HIER: steam section in pH6 citrate buffer for 20 min.
Immunofluorescent staining of FFPE human PC-3 cells with ARAF antibody (red) and DAPI nuclear stain (blue). HIER: steam section in pH6 citrate buffer for 20 min.
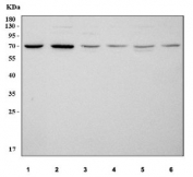
Western blot testing of 1) human HeLa, 2) human MCF7, 3) rat testis, 4) rat brain, 5) mouse testis and 6) mouse brain tissue lysate with ARAF antibody. Predicted molecular weight ~67 kDa.
Flow cytometry testing of human SiHa cells with ARAF antibody at 1ug/million cells (blocked with goat sera); Red=cells alone, Green=isotype control, Blue= ARAF antibody.
Availability 1-3 business days
Species Reactivity Human, Mouse, Rat
Format Antigen affinity purified
Clonality Polyclonal (rabbit origin)
Isotype Rabbit IgG
Purity Affinity purified
Buffer Lyophilized from 1X PBS with 2% Trehalose and 0.025% sodium azide
UniProt P10398
Localization Cytoplasmic
Applications Western Blot : 0.5-1ug/ml
Immunofluorescence : 5ug/ml
Flow Cytometry : 1-3ug/million cells
Direct ELISA : 0.1-0.5ug/ml
Limitations This ARAF antibody is available for research use only.
Review this product on BioCompare and get a $20 Amazon gift card

Related Products

Description

Serine/threonine-protein kinase A-Raf or simply A-Raf is an enzyme that in humans is encoded by the ARAF gene. It is mapped to Xp11.3. This proto-oncogene belongs to the RAF subfamily of the Ser/Thr protein kinase family, and maybe involved in cell growth and development. Alternatively spliced transcript variants encoding different isoforms have been found for this gene. A-Raf is a member of the Raf kinase family of serine/threonine-specific protein kinases.

Application Notes

Optimal dilution of the ARAF antibody should be determined by the researcher.

Immunogen

Amino acids E309-T413 from the human protein were used as the immunogen for the ARAF antibody.

Storage

Store the ARAF antibody at -20oC.

Cross
Bulk Quote Request Form
Name*:
Organization*:
Email*:
Phone Number*:
Catalog No.*:
Comments and Specifics(amount, formulation, etc.)*:
Validation code: Captchapackage Image


Can't read the image? click here to refresh.
    *required field

Your bulk quote request has been submitted successfully!

Please contact us if you have any questions.