• Tel: 858.663.9055
  • SeparatorEmail: info@nsjbio.com
  • Tel: 858.663.9055
  • Email: info@nsjbio.com
Home >> Antibodies >> ARA9 Antibody

ARA9 Antibody (R33712)

  Catalog No Formulation Size Price (USD)  
Image R33712-100UG 0.5 mg/ml in 1X TBS, pH7.3, with 0.5% BSA (US sourced) and 0.02% sodium azide 100 ug 449
Bulk quote request
Western blot testing of NIH3T3 cell lysate with ARA9 antibody at 0.02ug/ml. Predicted molecular weight: ~37 kDa.
Western blot of HEK293 lysate overexpressing ARA9 probed with ARA9 antibody (mock transfection in lane 1). Predicted molecular weight: ~37 kDa.
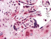
IHC testing of FFPE human placental tissue with ARA9 antibody at 5ug/ml. Required HIER: steamed antigen retrieval with pH6 citrate buffer; AP-staining.
Availability 1-3 business days
Species Reactivity Human, Mouse
Predicted Reactivity Rat, Dog
Format Antigen affinity purified
Clonality Polyclonal (goat origin)
Isotype Goat Ig
Purity Antigen affinity
Gene ID 9049
Localization Cytoplasmic
Applications Western Blot : 0.02-0.1ug/ml
IHC (FFPE) : 5ug/ml
ELISA (peptide) LOD : 1:64000
Limitations This ARA9 antibody is available for research use only.
Review this product on BioCompare and get a $20 Amazon gift card

Related Products

  • Applications : WB, IF/ICC, FACS
    Reactivity : Human

Description

Additional name(s) for this target protein: Aryl hydrocarbon receptor interacting protein; AIP

Application Notes

Optimal dilution of the ARA9 antibody should be determined by the researcher.

Immunogen

Amino acids EARIRQKDEEDKAR were used as the immunogen for this ARA9 antibody.

Storage

Aliquot and store the ARA9 antibody at -20oC.

Cross
Bulk Quote Request Form
Name*:
Organization*:
Email*:
Phone Number*:
Catalog No.*:
Comments and Specifics(amount, formulation, etc.)*:
Validation code: Captchapackage Image


Can't read the image? click here to refresh.
    *required field

Your bulk quote request has been submitted successfully!

Please contact us if you have any questions.