• Tel: 858.663.9055
  • SeparatorEmail: info@nsjbio.com
  • Tel: 858.663.9055
  • Email: info@nsjbio.com
Home >> Antibodies >> AR-V7 Antibody / Androgen Receptor

AR-V7 Antibody / Androgen Receptor [clone DHH-1] (RQ4683)

  Catalog No Formulation Size Price (USD)  
Image RQ4683 Antibody in PBS with 0.02% sodium azide, 50% glycerol and 0.4-0.5mg/ml BSA 100 ul 439
Microvalidated Rab Mono Image
Bulk quote request
Western blot testing of human 22RV1 lysate with AR-V7 antibody. Predicted molecular weight ~68 kDa but routinely observed at ~80 kDa.
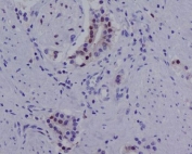
IHC staining of FFPE human prostate carcinoma with AR-V7 antibody. HIER: boil tissue sections in pH6, 10mM citrate buffer, for 10-20 min and allow to cool before testing.
Availability 1-2 weeks
Species Reactivity Human
Format Purified
Clonality Rabbit Monoclonal
Isotype Rabbit IgG
Clone Name DHH-1
Purity Affinity purified
UniProt P10275
Localization Cytoplasmic, nuclear
Applications Western Blot : 1:500-1:2000
Immunohistochemistry (FFPE) : 1:50-1:200
Limitations This AR-V7 antibody is available for research use only.
Review this product on BioCompare and get a $20 Amazon gift card

Related Products

Description

AR-V7 is an androgen receptor splice variant that can be detected in circulating tumor cells of metastatic prostate cancer patients and is predictive of resistance to some drugs. [Wiki]

Application Notes

Optimal dilution of the AR-V7 antibody should be determined by the researcher.

Immunogen

A synthetic peptide specific to the AR-V7 splice variant of human Androgen Receptor was used as the immunogen for the AR-V7 antibody.

Storage

Store the AR-V7 antibody at -20oC.

Cross
Bulk Quote Request Form
Name*:
Organization*:
Email*:
Phone Number*:
Catalog No.*:
Comments and Specifics(amount, formulation, etc.)*:
Validation code: Captchapackage Image


Can't read the image? click here to refresh.
    *required field

Your bulk quote request has been submitted successfully!

Please contact us if you have any questions.