• Tel: 858.663.9055
  • SeparatorEmail: info@nsjbio.com
  • Tel: 858.663.9055
  • Email: info@nsjbio.com
Home >> Antibodies >> Aquaporin 5 Antibody

Aquaporin 5 Antibody (R30332)

  Catalog No Formulation Size Price (USD)  
Image R30332 0.5mg/ml if reconstituted with 0.2ml sterile DI water 100 ug 439
Bulk quote request
Western blot testing of Aquaporin 5 antibody and Lane 1: rat lung; 2: rat testis tissue lysate. Predicted molecular weight ~28 kDa.
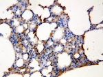
IHC-P: Aquaporin 5 antibody testing of rat lung tissue lysate.
Availability 1-3 business days
Species Reactivity Mouse, Rat
Format Antigen affinity purified
Clonality Polyclonal (rabbit origin)
Isotype Rabbit IgG
Purity Antigen affinity
Buffer Lyophilized from 1X PBS with 2.5% BSA and 0.025% sodium azide/thimerosal
UniProt Q9WTY4
Applications Western Blot : 0.5-1ug/ml
Immunohistochemistry (FFPE) : 0.5-1ug/ml
Limitations This Aquaporin 5 antibody is available for research use only.
Review this product on BioCompare and get a $20 Amazon gift card

Related Products

Description

Aquaporin 5, also known as AQP5, is a water channel protein. The aquaporins(AQPs) are a family of more than 10 homologous water transporting proteins expressed in many mammalian epithelia and endothelia. AQP5 is expressed in corneal and lacrimal gland epithelia. Aquaporin 5 plays a role in the generation of saliva, tears and pulmonary secretions.

Application Notes

The stated application concentrations are suggested starting amounts. Titration of the Aquaporin 5 antibody may be required due to differences in protocols and secondary/substrate sensitivity.

Immunogen

An amino acid sequence from the C-terminus of mouse AQP5 (EEDWEDHREERKKTIELTAH) was used as the immunogen for this Aquaporin 5 antibody.

Storage

After reconstitution, the Aquaporin 5 antibody can be stored for up to one month at 4oC. For long-term, aliquot and store at -20oC. Avoid repeated freezing and thawing.

Cross
Bulk Quote Request Form
Name*:
Organization*:
Email*:
Phone Number*:
Catalog No.*:
Comments and Specifics(amount, formulation, etc.)*:
Validation code: Captchapackage Image


Can't read the image? click here to refresh.
    *required field

Your bulk quote request has been submitted successfully!

Please contact us if you have any questions.