• Tel: 858.663.9055
  • SeparatorEmail: info@nsjbio.com
  • Tel: 858.663.9055
  • Email: info@nsjbio.com
Home >> Antibodies >> Aquaporin 4 Antibody / AQP4

Aquaporin 4 Antibody / AQP4 (R31037)

  Catalog No Formulation Size Price (USD)  
Image R31037 0.5mg/ml if reconstituted with 0.2ml sterile DI water 100 ug 439
Bulk quote request
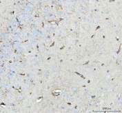
IHC staining of FFPE human glioma tissue with Aquaporin 4 antibody. HIER: boil tissue sections in pH8 EDTA for 20 min and allow to cool before testing.
IHC staining of FFPE mouse brain tissue with Aquaporin 4 antibody. HIER: boil tissue sections in pH8 EDTA for 20 min and allow to cool before testing.
IHC staining of FFPE rat brain tissue with Aquaporin 4 antibody. HIER: boil tissue sections in pH8 EDTA for 20 min and allow to cool before testing.
Western blot testing of 1) rat brain and 2) mouse brain tissue lysate with Aquaporin 4 antibody. Observed molecular weight: 35~45kDa depending on glycosylation level.
Availability 1-3 business days
Species Reactivity Human, Mouse, Rat
Format Antigen affinity purified
Clonality Polyclonal (rabbit origin)
Isotype Rabbit IgG
Purity Antigen affinity
Buffer Lyophilized from 1X PBS with 2% Trehalose
UniProt P55087
Localization Cell membrane, cytoplasm
Applications Western Blot : 0.5-1ug/ml
Immunohistochemistry (FFPE) : 2-5ug/ml
Limitations This Aquaporin 4 antibody is available for research use only.
Review this product on BioCompare and get a $20 Amazon gift card

Related Products

Description

Aquaporin 4, also known as Mercurial-Insensitive Water Channel (MIWC), is protein which in humans is encoded by the AQP4 gene. The aquaporins are a family of water-selective membrane channels found in animals, plants, and microorganisms. AQP4 is the predominant water channel in the brain and has an important role in brain water homeostasis. By fluorescence in situ hybridization, Lu et al.(1996) determined that the AQP4 gene maps to 18q11.2-q12.1. By interspecific backcross analysis, Turtzo et al.(1997) mapped the mouse Aqp4 gene to the proximal region of chromosome 18. Analyzing the expression of AQP4 in mammalian skeletal muscle, Frigeri et al.(1998) found that, in immunohistochemical experiments, affinity-purified AQP4 antibodies stained selectively the sarcolemma of fast-twitch fibers. Immunocytochemistry revealed strong AQP4 water channel expression in Muller cells in mouse retina and in fibrous astrocytes in optic nerve.

Application Notes

The stated application concentrations are suggested starting points. Titration of the Aquaporin 4 antibody may be required due to differences in protocols and secondary/substrate sensitivity.

Immunogen

Amino acids 258-27 (FKRRFKEAFSKAAQQTK) were used as the immunogen for this Aquaporin 4 antibody.

Storage

After reconstitution, the Aquaporin 4 antibody can be stored for up to one month at 4oC. For long-term, aliquot and store at -20oC. Avoid repeated freezing and thawing.

Cross
Bulk Quote Request Form
Name*:
Organization*:
Email*:
Phone Number*:
Catalog No.*:
Comments and Specifics(amount, formulation, etc.)*:
Validation code: Captchapackage Image


Can't read the image? click here to refresh.
    *required field

Your bulk quote request has been submitted successfully!

Please contact us if you have any questions.