• Tel: 858.663.9055
  • SeparatorEmail: info@nsjbio.com
  • Tel: 858.663.9055
  • Email: info@nsjbio.com
Home >> Antibodies >> AQP5 Antibody / Aquaporin 5

AQP5 Antibody / Aquaporin 5 (RQ4537)

  Catalog No Formulation Size Price (USD)  
Image RQ4537 0.5mg/ml if reconstituted with 0.2ml sterile DI water 100 ug 439
Bulk quote request
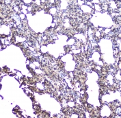
IHC staining of FFPE mouse lung with AQP5 antibody at 1ug/ml. HIER: boil tissue sections in pH6, 10mM citrate buffer, for 10-20 min followed by cooling at RT for 20 min.
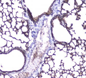
IHC staining of FFPE rat lung with AQP5 antibody at 1ug/ml. HIER: boil tissue sections in pH6, 10mM citrate buffer, for 10-20 min followed by cooling at RT for 20 min.
Western blot testing of 1) rat lung and 2) mouse lung lysate with AQP5 antibody at 0.5ug/ml. Predicted molecular weight ~28 kDa.
Availability 1-3 business days
Species Reactivity Mouse, Rat
Format Antigen affinity purified
Clonality Polyclonal (rabbit origin)
Isotype Rabbit IgG
Purity Antigen affinity purified
Buffer Lyophilized from 1X PBS with 2% Trehalose and 0.025% sodium azide
UniProt P55064
Localization Plasma membrane
Applications Western Blot : 0.5-1ug/ml
IHC (FFPE) : 1-2ug/ml
Limitations This AQP5 antibody is available for research use only.
Review this product on BioCompare and get a $20 Amazon gift card

Related Products

Description

Aquaporin 5, also known as AQP5, is a water channel protein. The aquaporins (AQPs) are a family of more than 10 homologous water transporting proteins expressed in many mammalian epithelia and endothelia. At least five AQPs are expressed in the eye: AQP0 (MIP) in lens fiber, AQP1 in cornea endothelium, ciliary and lens epithelia and trabecular meshwork, AQP3 in conjunctiva, AQP4 in ciliary epithelium and retinal M�ller cells, and AQP5 in corneal and lacrimal gland epithelia. Among the seven human aquaporins cloned to date (AQPs 0-6), genes encoding the four most closely related aquaporins (AQP0, AQP2, AQP5, and AQP6) have been mapped to chromosome band 12q13, suggesting an aquaporin family gene cluster at this locus. Aquaporin 5 plays a role in the generation of saliva, tears and pulmonary secretions.

Application Notes

Optimal dilution of the AQP5 antibody should be determined by the researcher.

Immunogen

Amino acids NSLSLSERVAIIKGTYEPDEDWEEQREERKKTMELTTR were used as the immunogen for the AQP5 antibody.

Storage

After reconstitution, the AQP5 antibody can be stored for up to one month at 4oC. For long-term, aliquot and store at -20oC. Avoid repeated freezing and thawing.

Cross
Bulk Quote Request Form
Name*:
Organization*:
Email*:
Phone Number*:
Catalog No.*:
Comments and Specifics(amount, formulation, etc.)*:
Validation code: Captchapackage Image


Can't read the image? click here to refresh.
    *required field

Your bulk quote request has been submitted successfully!

Please contact us if you have any questions.