• Tel: 858.663.9055
  • SeparatorEmail: info@nsjbio.com
  • Tel: 858.663.9055
  • Email: info@nsjbio.com
Home >> Antibodies >> AQP4 Antibody / Aquaporin 4

AQP4 Antibody / Aquaporin 4 (R32145)

  Catalog No Formulation Size Price (USD)  
Image R32145 0.5mg/ml if reconstituted with 0.2ml sterile DI water 100 ug 439
Bulk quote request
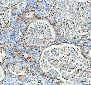
IHC testing of FFPE human lung cancer tissue with AQP4 antibody. HIER: Boil the paraffin sections in pH 8 EDTA buffer for 20 minutes and allow to cool prior to staining.
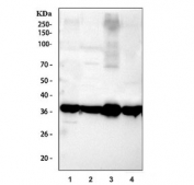
Western blot testing of 1) rat brain, 2) rat brain, 3) mouse brain and 4) mouse brain with AQP4 antibody. Observed molecular weight: 35-45 kDa depending on glycosylation level.
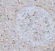
IHC testing of FFPE mouse brain with AQP4 antibody. HIER: Boil the paraffin sections in pH 8 EDTA buffer for 20 minutes and allow to cool prior to staining.
IHC testing of frozen mouse brain with AQP4 antibody.
IHC testing of FFPE rat brain with AQP4 antibody. HIER: Boil the paraffin sections in pH 8 EDTA buffer for 20 minutes and allow to cool prior to staining.
IHC testing of frozen rat brain with AQP4 antibody.
Availability 1-3 business days
Species Reactivity Human, Mouse, Rat
Format Antigen affinity purified
Clonality Polyclonal (rabbit origin)
Isotype Rabbit IgG
Purity Antigen affinity
Buffer Lyophilized from 1X PBS with 2% Trehalose
UniProt P55087
Applications Western Blot : 0.5-1ug/ml
Immunohistochemistry (Frozen) : 0.5-1ug/ml
Immunohistochemistry (FFPE) : 2-5ug/ml
Limitations This AQP4 antibody is available for research use only.
Review this product on BioCompare and get a $20 Amazon gift card

Related Products

Description

Aquaporin 4 is found in the basolateral cell membrane of principal collecting duct cells and provides a pathway for water to exit these cells. The gene of AQP4 is mapped to 18q11.2-q12.1. Similar to other aquaporins, the AQP4 gene is composed of 4 exons encoding 127, 55, 27, and 92 amino acids separated by introns of 0.8, 0.3, and 5.2 kb. Unlike other aquaporins, an alternative coding initiation sequence (designated exon 0) was located 2.7 kb upstream of exon 1. When spliced together, M1 and the subsequent 10 amino acids are encoded by exon 0; the next 11 amino acids and M23 are encoded by exon 1. AQP4 is expressed in astrocytes and is upregulated by direct insult to the central nervous system. And AQP4 is the predominant water channel in the brain and has an important role in brain water homeostasis. It is abundant in mammalian brain and is concentrated in astrocytic foot processes at the blood-brain barrier.

Application Notes

Optimal dilution of the AQP4 antibody should be determined by the researcher.

Immunogen

Amino acids KPGVVHVIDVDRGEEKKGKDQSGEVLSSV of human Aquaporin 4 were used as the immunogen for the AQP4 antibody.

Storage

After reconstitution, the AQP4 antibody can be stored for up to one month at 4oC. For long-term, aliquot and store at -20oC. Avoid repeated freezing and thawing.

Cross
Bulk Quote Request Form
Name*:
Organization*:
Email*:
Phone Number*:
Catalog No.*:
Comments and Specifics(amount, formulation, etc.)*:
Validation code: Captchapackage Image


Can't read the image? click here to refresh.
    *required field

Your bulk quote request has been submitted successfully!

Please contact us if you have any questions.