• Tel: 858.663.9055
  • SeparatorEmail: info@nsjbio.com
  • Tel: 858.663.9055
  • Email: info@nsjbio.com
Home >> Antibodies >> AQP4 Antibody / Aquaporin 4

AQP4 Antibody / Aquaporin 4 [clone AQP4/3323] (V5750)

  Catalog No Formulation Size Price (USD)  
Image V5750-100UG 0.2 mg/ml in 1X PBS with 0.1 mg/ml BSA (US sourced), 0.05% sodium azide 100 ug 539
Image
V5750-20UG 0.2 mg/ml in 1X PBS with 0.1 mg/ml BSA (US sourced), 0.05% sodium azide 20 ug 249
Image
V5750SAF-100UG 1 mg/ml in 1X PBS; BSA free, sodium azide free 100 ug 539
Microvalidated
Bulk quote request
Western blot testing of human brain tissue lysate with AQP4 antibody (clone AQP4/3323). Observed molecular weight: 35~45 kDa depending on glycosylation level.
Flow cytometry staining of PFA-fixed human Ramos cells with AQP4 antibody (clone AQP4/3323); Red=isotype control, Blue= AQP4 antibody.
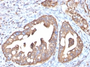
IHC staining of FFPE human small intestine tissue with AQP4 antibody (clone AQP4/3323). HIER: boil tissue sections in pH 9 10mM Tris with 1mM EDTA for 20 min and allow to cool before testing.
Analysis of HuProt(TM) microarray containing more than 19,000 full-length human proteins using AQP4 antibody (clone AQP4/3323). These results demonstrate the foremost specificity of the AQP4/3323 mAb. Z- and S- score: The Z-score represents the strength of a signal that an antibody (in combination with a fluorescently-tagged anti-IgG secondary Ab) produces when binding to a particular protein on the HuProt(TM) array. Z-scores are described in units of standard deviations (SD's) above the mean value of all signals generated on that array. If the targets on the HuProt(TM) are arranged in descending order of the Z-score, the S-score is the difference (also in units of SD's) between the Z-scores. The S-score therefore represents the relative target specificity of an Ab to its intended target.
SDS-PAGE analysis of purified, BSA-free AQP4 antibody (clone AQP4/3323) as confirmation of integrity and purity.
Availability 1-3 business days
Species Reactivity Human
Format Purified
Clonality Monoclonal (mouse origin)
Isotype Mouse IgG1, kappa
Clone Name AQP4/3323
Purity Protein G affinity
UniProt P55087
Localization Cell membrane, cytoplasm
Applications Flow Cytometry : 1-2ug/million cells
Immunohistochemistry (FFPE) : 1-2ug/ml
Western Blot : 2-4ug/ml
Limitations This AQP4 antibody is available for research use only.
Review this product on BioCompare and get a $20 Amazon gift card

Related Products

Description

Aquaporin 4 plays an important role in brain water homeostasis. [UniProt]

Application Notes

Optimal dilution of the AQP4 antibody should be determined by the researcher.

Immunogen

A human partial recombinant protein (from within amino acids 200-323) was used as the immunogen for the AQP4 antibody.

Storage

Aliquot the AQP4 antibody and store frozen at -20oC or colder. Avoid repeated freeze-thaw cycles.

Cross
Bulk Quote Request Form
Name*:
Organization*:
Email*:
Phone Number*:
Catalog No.*:
Comments and Specifics(amount, formulation, etc.)*:
Validation code: Captchapackage Image


Can't read the image? click here to refresh.
    *required field

Your bulk quote request has been submitted successfully!

Please contact us if you have any questions.