• Tel: 858.663.9055
  • SeparatorEmail: info@nsjbio.com
  • Tel: 858.663.9055
  • Email: info@nsjbio.com
Home >> Antibodies >> APRT Antibody

APRT Antibody (RQ4891)

  Catalog No Formulation Size Price (USD)  
Image RQ4891 0.5mg/ml if reconstituted with 0.2ml sterile DI water 100 ug 439
Bulk quote request
Western blot testing of human 1) T-47D, 2) HEK293, 3) K562 and 4) Caco-2 lysate with APRT antibody at 0.5ug/ml. Predicted molecular weight ~20 kDa.
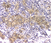
IHC staining of FFPE human breast cancer with APRT antibody at 1ug/ml. HIER: boil tissue sections in pH6, 10mM citrate buffer, for 10-20 min and allow to cool before testing.
Availability 1-3 business days
Species Reactivity Human
Format Antigen affinity purified
Clonality Polyclonal (rabbit origin)
Isotype Rabbit IgG
Purity Antigen affinity purified
Buffer Lyophilized from 1X PBS with 2% Trehalose and 0.025% sodium azide
UniProt P08030
Applications Western Blot : 0.5-1ug/ml
Immunohistochemistry (FFPE) : 1-2ug/ml
Limitations This APRT antibody is available for research use only.
Review this product on BioCompare and get a $20 Amazon gift card

Related Products

  • Applications : WB, FACS, IF
    Reactivity : Human
  • Applications : WB, IF, FACS, IHC-P
    Reactivity : Human

Description

Adenine phosphoribosyltransferase (APRTase) is an enzyme encoded by the APRT gene, found in humans on chromosome 16. It belongs to the purine/pyrimidine phosphoribosyltransferase family. A conserved feature of this gene is the distribution of CpG dinucleotides. This enzyme catalyzes the formation of AMP and inorganic pyrophosphate from adenine and 5-phosphoribosyl-1-pyrophosphate (PRPP). It also produces adenine as a by-product of the polyamine biosynthesis pathway. A homozygous deficiency in this enzyme causes 2,8-dihydroxyadenine urolithiasis. Two transcript variants encoding different isoforms have been found for this gene.

Application Notes

Optimal dilution of the APRT antibody should be determined by the researcher.

Immunogen

Amino acids RAEVVECVSLVELTSLKGRERL from the mouse protein were used as the immunogen for the APRT antibody.

Storage

After reconstitution, the APRT antibody can be stored for up to one month at 4oC. For long-term, aliquot and store at -20oC. Avoid repeated freezing and thawing.

Cross
Bulk Quote Request Form
Name*:
Organization*:
Email*:
Phone Number*:
Catalog No.*:
Comments and Specifics(amount, formulation, etc.)*:
Validation code: Captchapackage Image


Can't read the image? click here to refresh.
    *required field

Your bulk quote request has been submitted successfully!

Please contact us if you have any questions.