• Tel: 858.663.9055
  • SeparatorEmail: info@nsjbio.com
  • Tel: 858.663.9055
  • Email: info@nsjbio.com
Home >> Antibodies >> APPL1 Antibody

APPL1 Antibody [clone 5G11] (RQ6235)

  Catalog No Formulation Size Price (USD)  
Image RQ6235 0.5mg/ml if reconstituted with 0.2ml sterile DI water 100 ug 439
Bulk quote request
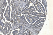
IHC staining of FFPE human appendicitis tissue with APPL1 antibody. HIER: boil tissue sections in pH8 EDTA for 20 min and allow to cool before testing.
IHC staining of FFPE human breast cancer with APPL1 antibody. HIER: boil tissue sections in pH8 EDTA for 20 min and allow to cool before testing.
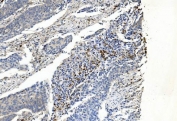
IHC staining of FFPE human rectal cancer with APPL1 antibody. HIER: boil tissue sections in pH8 EDTA for 20 min and allow to cool before testing.
Western blot testing of human 1) HL60, 2) ThP-1, 3) PC-3, 4) HeLa, 5) rat brain and 6) mouse brain lysate with APPL1 antibody. Predicted molecular weight ~80 kDa.
Flow cytometry testing of human U937 cells with APPL1 antibody at 1ug/million cells (blocked with goat sera); Red=cells alone, Green=isotype control, Blue= APPL1 antibody.
Availability 1-3 business days
Species Reactivity Human, Mouse, Rat
Format Antigen affinity purified
Clonality Monoclonal (mouse origin)
Isotype Mouse IgG2a
Clone Name 5G11
Purity Affinity purified
Buffer Lyophilized from 1X PBS with 2% Trehalose
UniProt Q9UKG1
Applications Western Blot : 1-2ug/ml
Immunohistochemistry (FFPE) : 2-5ug/ml
Flow Cytometry : 1-3ug/million cells
Limitations This APPL1 antibody is available for research use only.
Review this product on BioCompare and get a $20 Amazon gift card

Related Products

  • Applications : WB, ELISA (peptide)
    Reactivity : Human
  • Applications : WB, ELISA (peptide)
    Reactivity : Human, Mouse, Rat
    Pred. Reactivity : Cow, Dog

Description

DCC-interacting protein 13-alpha (APPL1) is a protein that in humans is encoded by the APPL1 gene. The APPL1 gene is mapped to 3q21.1-p13.3. It is said to contain 709 amino acids and share 54% amino acid identity with APPL2. APPL is highly expressed in skeletal muscle, heart, ovary, and pancreas, tissues in which AKT2 mRNA is abundant. It has been regarded as an adaptor that may tether inactive AKT2 to the PI3K in the cytoplasm and thereby may expedite recruitment of AKT2 and PI3K to the cell membrane upon mitogenic stimulation.

Application Notes

Optimal dilution of the APPL1 antibody should be determined by the researcher.

Immunogen

A human recombinant partial protein (amino acids K91-R668) was used as the immunogen for the APPL1 antibody.

Storage

After reconstitution, the APPL1 antibody can be stored for up to one month at 4oC. For long-term, aliquot and store at -20oC. Avoid repeated freezing and thawing.

Cross
Bulk Quote Request Form
Name*:
Organization*:
Email*:
Phone Number*:
Catalog No.*:
Comments and Specifics(amount, formulation, etc.)*:
Validation code: Captchapackage Image


Can't read the image? click here to refresh.
    *required field

Your bulk quote request has been submitted successfully!

Please contact us if you have any questions.