• Tel: 858.663.9055
  • SeparatorEmail: info@nsjbio.com
  • Tel: 858.663.9055
  • Email: info@nsjbio.com
Home >> Antibodies >> APOM Antibody

APOM Antibody (R35138)

  Catalog No Formulation Size Price (USD)  
Image R35138-100UG 0.5 mg/ml in 1X TBS, pH7.3, with 0.5% BSA (US sourced) and 0.02% sodium azide 100 ug 449
Bulk quote request
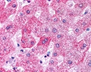
IHC testing of FFPE human liver with APOM antibody at 5ug/ml. HIER: steamed with pH6 citrate buffer, AP-staining.
Availability 1-3 business days
Species Reactivity Human
Predicted Reactivity Dog
Format Antigen affinity purified
Clonality Polyclonal (goat origin)
Isotype Goat Ig
Purity Antigen affinity
Gene ID 55937
Applications Immunohistochemistry (FFPE) : 3-6ug/ml
ELISA (peptide) LOD : 1:8000
Limitations This APOM antibody is available for research use only.
Review this product on BioCompare and get a $20 Amazon gift card

Related Products

  • Applications : WB, ELISA (peptide)
    Reactivity : Human
    Pred. Reactivity : Mouse, Rat

Description

Additional name(s) for this target protein: Apolipoprotein M

Application Notes

Optimal dilution of the APOM antibody should be determined by the researcher.

Immunogen

Amino acids PRNQEACELSNN were used as the immunogen for this APOM antibody.

Storage

Aliquot and store the APOM antibody at -20oC.

Cross
Bulk Quote Request Form
Name*:
Organization*:
Email*:
Phone Number*:
Catalog No.*:
Comments and Specifics(amount, formulation, etc.)*:
Validation code: Captchapackage Image


Can't read the image? click here to refresh.
    *required field

Your bulk quote request has been submitted successfully!

Please contact us if you have any questions.