• Tel: 858.663.9055
  • SeparatorEmail: info@nsjbio.com
  • Tel: 858.663.9055
  • Email: info@nsjbio.com
Home >> Antibodies >> Apolipoprotein H Antibody / APOH

Apolipoprotein H Antibody / APOH [clone 24A09] (RQ8917)

  Catalog No Formulation Size Price (USD)  
Image RQ8917 Antibody in PBS with 0.02% sodium azide, 50% glycerol and 0.4-0.5mg/ml BSA 100 ul 439
Microvalidated Recrabbitmono
Bulk quote request
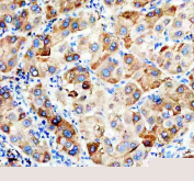
IHC staining of FFPE human liver tissue with Apolipoprotein H antibody, HRP-secondary and DAB substrate. HIER: boil tissue sections in pH8 EDTA for 20 min and allow to cool before testing.
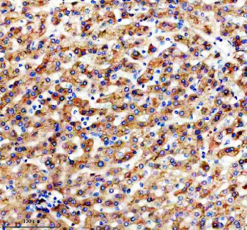
IHC staining of FFPE human liver cancer tissue with Apolipoprotein H antibody, HRP-secondary and DAB substrate. HIER: boil tissue sections in pH8 EDTA for 20 min and allow to cool before testing.
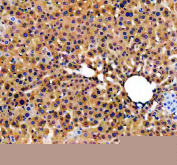
IHC staining of FFPE mouse liver tissue with Apolipoprotein H antibody, HRP-secondary and DAB substrate. HIER: boil tissue sections in pH8 EDTA for 20 min and allow to cool before testing.
Western blot testing of 1) human HepG2, 2) human Caco-2 and 3) mouse HEPA1-6 cell lysate with Apolipoprotein H antibody. Predicted molecular weight ~38 kDa, but may be observed at higher molecular weights due to glycosylation.
Availability 1-3 days
Species Reactivity Human, Mouse
Format Purified
Clonality Recombinant Rabbit Monoclonal
Isotype Rabbit IgG
Clone Name 24A09
Purity Affinity chromatography
UniProt P02749
Applications Western Blot : 1:1000
Immunohistochemistry (FFPE) : 1:50
Limitations This Apolipoprotein H antibody is available for research use only.
Review this product on BioCompare and get a $20 Amazon gift card

Related Products

Description

Apolipoprotein H (APOH), also known as beta-2-glycoprotein I, is a plasma glycoprotein primarily involved in lipid metabolism and coagulation pathways. It binds to negatively charged phospholipids and plays a regulatory role in blood clotting by modulating platelet activity and coagulation protein function. Researchers frequently use an Apolipoprotein H antibody to study these biological processes.

Beyond its role in coagulation, APOH has been implicated in immune regulation and is a target of autoantibodies in antiphospholipid syndrome, a condition associated with abnormal clotting. Studying APOH with an Apolipoprotein H antibody provides insights into cardiovascular disease, autoimmune disorders, and lipid biology.

NSJ Bioreagents offers a validated Apolipoprotein H antibody designed for applications such as western blot, immunohistochemistry, and ELISA. Using a high-quality Apolipoprotein H antibody ensures reliable detection and reproducibility in studies of coagulation, immunity, and metabolic regulation.

Application Notes

Optimal dilution of the Apolipoprotein H antibody should be determined by the researcher.

Immunogen

A peptide sequence specific to Apolipoprotein H protein was used as the immunogen for the Apolipoprotein H antibody.

Storage

After reconstitution, the Apolipoprotein H antibody can be stored for up to one month at 4oC. For long-term, aliquot and store at -20oC. Avoid repeated freezing and thawing.

Cross
Bulk Quote Request Form
Name*:
Organization*:
Email*:
Phone Number*:
Catalog No.*:
Comments and Specifics(amount, formulation, etc.)*:
Validation code: Captchapackage Image


Can't read the image? click here to refresh.
    *required field

Your bulk quote request has been submitted successfully!

Please contact us if you have any questions.