• Tel: 858.663.9055
  • SeparatorEmail: info@nsjbio.com
  • Tel: 858.663.9055
  • Email: info@nsjbio.com
Home >> Antibodies >> Apolipoprotein H Antibody / APOH

Apolipoprotein H Antibody / APOH [clone APOH/3682] (V5407)

  Catalog No Formulation Size Price (USD)  
Image V5407-100UG 0.2 mg/ml in 1X PBS with 0.1 mg/ml BSA (US sourced), 0.05% sodium azide 100 ug 539
Image
V5407-20UG 0.2 mg/ml in 1X PBS with 0.1 mg/ml BSA (US sourced), 0.05% sodium azide 20 ug 249
Image
V5407SAF-100UG 1 mg/ml in 1X PBS; BSA free, sodium azide free 100 ug 539
Bulk quote request
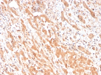
IHC staining of FFPE human liver tissue with Apolipoprotein H antibody (clone APOH/3682). HIER: boil tissue sections in pH 9 10mM Tris with 1mM EDTA for 20 min and allow to cool before testing.
SDS-PAGE analysis of purified, BSA-free Apolipoprotein H antibody (clone APOH/3682) as confirmation of integrity and purity.
Availability 1-3 business days
Species Reactivity Human
Format Purified
Clonality Monoclonal (mouse origin)
Isotype Mouse IgG2c, kappa
Clone Name APOH/3682
Purity Protein A/G affinity
UniProt P02749
Localization Secreted
Applications Immunohistochemistry (FFPE) : 1-2ug/ml
Limitations This Apolipoprotein H antibody is available for research use only.
Review this product on BioCompare and get a $20 Amazon gift card

Related Products

Description

Human apolipoprotein H (apoH, also designated b2-glycoprotein I, activated protein C binding protein or APC inhibitor) is a five-domain plasma membrane-adhesion protein that is rich in sialic acid linked a to galactose or N-acetylgal-actosamine. apoH has been implicated in a variety of physiological pathways, including blood coagulation and the immune response. apoH is a cofactor for the binding of serum auto-antibodies from antiphospholipid syndrome, and is correlated with thrombosis, lupus erythematosus and recurrent fetal loss. In addition, apoH is also implicated in the clearance of apoptotic bodies from the circulation. The apoH gene is located on human chromosome 17q24.2. apoH is synthesized by hepatocytes and is present in blood associated with plasma lipoproteins. apoH displays a genetically determined structural polymorphism including three alleles (apoH*1, apoH*2 and apoH*3). apoH can inhibit the translocation of cholesterol from extracellular pools to macrophages, which reduces the cellular accumulation of cholesterol, suggesting that apoH may play an important role in the prevention of atherosclerosis.

Application Notes

Optimal dilution of the Apolipoprotein H antibody should be determined by the researcher.

Immunogen

A recombinant fragment (within amino acids 1-300) of human APOH protein was used as the immunogen for the Apolipoprotein H antibody.

Storage

Aliquot the Apolipoprotein H antibody and store frozen at -20oC or colder. Avoid repeated freeze-thaw cycles.

Cross
Bulk Quote Request Form
Name*:
Organization*:
Email*:
Phone Number*:
Catalog No.*:
Comments and Specifics(amount, formulation, etc.)*:
Validation code: Captchapackage Image


Can't read the image? click here to refresh.
    *required field

Your bulk quote request has been submitted successfully!

Please contact us if you have any questions.