• Tel: 858.663.9055
  • SeparatorEmail: info@nsjbio.com
  • Tel: 858.663.9055
  • Email: info@nsjbio.com
Home >> Antibodies >> Apolipoprotein F Antibody

Apolipoprotein F Antibody (R34657)

  Catalog No Formulation Size Price (USD)  
Image R34657-100UG 0.5 mg/ml in 1X TBS, pH7.3, with 0.5% BSA (US sourced) and 0.02% sodium azide 100 ug 449
Bulk quote request
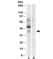
Western blot testing of human liver lysate with Apolipoprotein F antibody at 0.5ug/ml. Predicted/observed molecular weight: ~35kDa.
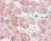
IHC staining of FFPE human liver with Apolipoprotein F antibody at 4ug/ml. HIER: steamed with pH6 citrate buffer, AP-staining. Image shows lipid droplet staining in the cytoplasm.
Availability 1-3 business days
Species Reactivity Human
Format Antigen affinity purified
Clonality Polyclonal (goat origin)
Isotype Goat Ig
Purity Antigen affinity
Gene ID 319
Applications Western Blot : 0.3-1ug/ml
Immunohistochemistry (FFPE) : 2.5-5ug/ml
ELISA (peptide) LOD : 1:32000
Limitations This Apolipoprotein F antibody is available for research use only.
Review this product on BioCompare and get a $20 Amazon gift card

Related Products

Description

Additional name(s) for this target protein: APOF

Application Notes

Optimal dilution of the Apolipoprotein F antibody should be determined by the researcher.

Immunogen

Amino acids KSYDLDPGAGSLE were used as the immunogen for this Apolipoprotein F antibody.

Storage

Aliquot and store the Apolipoprotein F antibody at -20oC.

Cross
Bulk Quote Request Form
Name*:
Organization*:
Email*:
Phone Number*:
Catalog No.*:
Comments and Specifics(amount, formulation, etc.)*:
Validation code: Captchapackage Image


Can't read the image? click here to refresh.
    *required field

Your bulk quote request has been submitted successfully!

Please contact us if you have any questions.