• Tel: 858.663.9055
  • SeparatorEmail: info@nsjbio.com
  • Tel: 858.663.9055
  • Email: info@nsjbio.com
Home >> Antibodies >> Apolipoprotein A-II Antibody

Apolipoprotein A-II Antibody (F50393)

  Catalog No Formulation Size Price (USD)  
Image F50393-0.4ML In 1X PBS, pH 7.4, with 0.09% sodium azide 0.4 ml 429
Image
F50393-0.08ML In 1X PBS, pH 7.4, with 0.09% sodium azide 0.08 ml 199
Bulk quote request
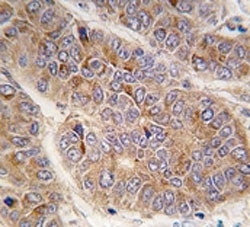
IHC analysis of FFPE human hepatocarcinoma tissue stained with Apolipoprotein A-II antibody
Western blot testing of human plasma lysate with Apolipoprotein A-II antibody at 1:1000. Expected molecular weight ~11 kDa.
Availability 1-3 business days
Species Reactivity Human
Predicted Reactivity Primate
Format Purified
Clonality Polyclonal (rabbit origin)
Isotype Rabbit Ig
Purity Purified
UniProt P02652
Applications Western Blot : 1:500-1000
IHC (Paraffin) : 1:10-1:50
Limitations This Apolipoprotein A-II antibody is available for research use only.
Review this product on BioCompare and get a $20 Amazon gift card

Related Products

Description

APOA2, Apolipoprotein A-II, which is the second most abundant protein of the high density lipoprotein particles. The protein is found in plasma as a monomer, homodimer, or heterodimer with apolipoprotein D. Defects in this gene may result in apolipoprotein A-II deficiency or hypercholesterolemia.

Application Notes

Titration of the Apolipoprotein A-II antibody may be required due to differences in protocols and secondary/substrate sensitivity.

Immunogen

A portion of amino acids 28-56 from the human protein was used as the immunogen for this Apolipoprotein A-II antibody.

Storage

Aliquot the Apolipoprotein A-II antibody and store frozen at -20oC or colder. Avoid repeated freeze-thaw cycles.

Cross
Bulk Quote Request Form
Name*:
Organization*:
Email*:
Phone Number*:
Catalog No.*:
Comments and Specifics(amount, formulation, etc.)*:
Validation code: Captchapackage Image


Can't read the image? click here to refresh.
    *required field

Your bulk quote request has been submitted successfully!

Please contact us if you have any questions.