• Tel: 858.663.9055
  • SeparatorEmail: info@nsjbio.com
  • Tel: 858.663.9055
  • Email: info@nsjbio.com
Home >> Antibodies >> Apolipoprotein A I Antibody

Apolipoprotein A I Antibody (R32177)

  Catalog No Formulation Size Price (USD)  
Image R32177 0.5mg/ml if reconstituted with 0.2ml sterile DI water 100 ug 439
Bulk quote request
Western blot testing of mouse liver lysate with Apolipoprotein A I antibody. Predicted molecular weight ~30 kDa.
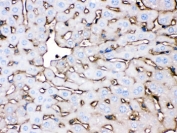
IHC testing of FFPE mouse liver with Apolipoprotein A I antibody. HIER: Boil the paraffin sections in pH 6, 10mM citrate buffer for 20 minutes and allow to cool prior to staining.
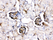
IHC testing of FFPE mouse kidney with Apolipoprotein A I antibody. HIER: Boil the paraffin sections in pH 6, 10mM citrate buffer for 20 minutes and allow to cool prior to staining.
Availability 1-3 business days
Species Reactivity Mouse
Format Antigen affinity purified
Clonality Polyclonal (rabbit origin)
Isotype Rabbit IgG
Purity Antigen affinity
Buffer Lyophilized from 1X PBS with 2.5% BSA and 0.025% sodium azide
UniProt Q00623
Localization Cytoplasmic, membranous
Applications Western Blot : 0.1-0.5ug/ml
IHC (FFPE) : 0.5-1ug/ml
Limitations This Apolipoprotein A I antibody is available for research use only.
Review this product on BioCompare and get a $20 Amazon gift card

Related Products

Description

Apolipoprotein A-1, also known as APOA1, is a human protein with a specific role in lipid metabolism. It binds to lipopolysaccharide or endotoxin, and has a major role in the anti-endotoxin function of HDL. The ApoA-I protein promotes cholesterol efflux from tissues to the liver for excretion. It is a cofactor for lecithin cholesterolacyltransferase (LCAT) which is responsible for the formation of most plasma cholesteryl esters. ApoA-I is also isolated as a prostacyclin (PGI2) stabilizing factor, and thus may have an anticlotting effect. Defects in the gene encoding it are associated with HDL deficiencies, including Tangier disease, and with systemic non-neuropathic amyloidosis. Additionally, ApoA-I overexpression promotes macrophage-specific reverse cholesterol transport.

Application Notes

Optimal dilution of the Apolipoprotein A I antibody should be determined by the researcher.

Immunogen

Amino acids 25-264 of mouse Apolipoprotein A I were used as the immunogen for the Apolipoprotein A I antibody.

Storage

After reconstitution, the Apolipoprotein A I antibody can be stored for up to one month at 4oC. For long-term, aliquot and store at -20oC. Avoid repeated freezing and thawing.

Cross
Bulk Quote Request Form
Name*:
Organization*:
Email*:
Phone Number*:
Catalog No.*:
Comments and Specifics(amount, formulation, etc.)*:
Validation code: Captchapackage Image


Can't read the image? click here to refresh.
    *required field

Your bulk quote request has been submitted successfully!

Please contact us if you have any questions.