• Tel: 858.663.9055
  • SeparatorEmail: info@nsjbio.com
  • Tel: 858.663.9055
  • Email: info@nsjbio.com
Home >> Antibodies >> ApoER2 Antibody / LRP8

ApoER2 Antibody / LRP8 (RQ5892)

  Catalog No Formulation Size Price (USD)  
Image RQ5892 0.5mg/ml if reconstituted with 0.2ml sterile DI water 100 ug 439
Bulk quote request
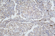
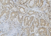
IHC staining of FFPE human breast cancer with ApoER2 antibody. HIER: boil tissue sections in pH8 EDTA for 20 min and allow to cool before testing.
IHC staining of FFPE human rectal cancer with ApoER2 antibody. HIER: boil tissue sections in pH8 EDTA for 20 min and allow to cool before testing.
IHC staining of FFPE human lung cancer with ApoER2 antibody. HIER: boil tissue sections in pH8 EDTA for 20 min and allow to cool before testing.
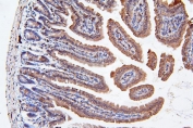
IHC staining of FFPE mouse intestine with ApoER2 antibody. HIER: boil tissue sections in pH8 EDTA for 20 min and allow to cool before testing.
IHC staining of FFPE rat intestine with ApoER2 antibody. HIER: boil tissue sections in pH8 EDTA for 20 min and allow to cool before testing.
Western blot testing of human 1) placenta, 2) U-87 MG, 3) A549, 4) U937, 5) HL-60, 6) A431, 7) HeLa, 8) rat testis, 9) rat thymus, 10) rat spleen, 11) rat heart, 12) mouse testis, 13) mouse thymus, 14) mouse heart and 15) mouse RAW264.7 lysate with ApoER2 antibody. Predicted molecular weight ~106 kDa.
Flow cytometry testing of human U-87 MG cells with ApoER2 antibody at 1ug/million cells (blocked with goat sera); Red=cells alone, Green=isotype control, Blue= ApoER2 antibody.
Flow cytometry testing of human HL-60 cells with ApoER2 antibody at 1ug/million cells (blocked with goat sera); Red=cells alone, Green=isotype control, Blue= ApoER2 antibody.
Immunofluorescent staining of FFPE human HepG2 cells with ApoER2 antibody (green) and DAPI nuclear stain (blue). HIER: steam section in pH6 citrate buffer for 20 min.
Availability 1-3 business days
Species Reactivity Human, Mouse, Rat
Format Antigen affinity purified
Clonality Polyclonal (rabbit origin)
Isotype Rabbit IgG
Purity Affinity purified
Buffer Lyophilized from 1X PBS with 2% Trehalose and 0.025% sodium azide
UniProt Q14114
Applications Western Blot : 0.5-1ug/ml
Immunohistochemistry : 1-2ug/ml
Immunofluorescence : 2-4ug/ml
Flow Cytometry : 1-3ug/million cells
Direct ELISA : 0.1-0.5ug/ml
Limitations This ApoER2 antibody is available for research use only.
Review this product on BioCompare and get a $20 Amazon gift card

Description

This gene encodes a member of the low density lipoprotein receptor (LDLR) family. Low density lipoprotein receptors are cell surface proteins that play roles in both signal transduction and receptor-mediated endocytosis of specific ligands for lysosomal degradation. The encoded protein plays a critical role in the migration of neurons during development by mediating Reelin signaling, and also functions as a receptor for the cholesterol transport protein apolipoprotein E. Expression of this gene may be a marker for major depressive disorder. Alternatively spliced transcript variants encoding multiple isoforms have been observed for this gene.

Application Notes

Optimal dilution of the ApoER2 antibody should be determined by the researcher.

Immunogen

Recombinant human protein (amino acids R444-D960) was used as the immunogen for the ApoER2 antibody.

Storage

After reconstitution, the ApoER2 antibody can be stored for up to one month at 4oC. For long-term, aliquot and store at -20oC. Avoid repeated freezing and thawing.

Cross
Bulk Quote Request Form
Name*:
Organization*:
Email*:
Phone Number*:
Catalog No.*:
Comments and Specifics(amount, formulation, etc.)*:
Validation code: Captchapackage Image


Can't read the image? click here to refresh.
    *required field

Your bulk quote request has been submitted successfully!

Please contact us if you have any questions.