• Tel: 858.663.9055
  • SeparatorEmail: info@nsjbio.com
  • Tel: 858.663.9055
  • Email: info@nsjbio.com
Home >> Antibodies >> ApoE Antibody

ApoE Antibody (R31740)

  Catalog No Formulation Size Price (USD)  
Image R31740 0.5mg/ml if reconstituted with 0.2ml sterile DI water 100 ug 439
Bulk quote request
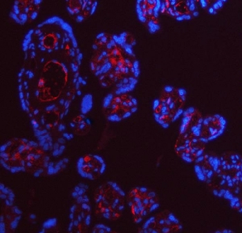
Immunofluorescent staining of FFPE human placental tissue with ApoE antibody (red) and DAPI nuclear stain (blue). HIER: steam section in pH8 EDTA buffer for 20 min.
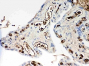
IHC staining of FFPE human placental tissue with ApoE antibody. HIER: boil tissue sections in pH6 citrate buffer for 20 min and allow to cool before testing.
Western blot testing of 1) human placenta and 2) human HepG2 cell lysate with ApoE antibody. Predicted molecular weight: 34-37 kDa.
Flow cytometry testing of human HepG2 cells with ApoE antibody at 1ug/million cells (blocked with goat sera); Red=cells alone, Green=isotype control, Blue= ApoE antibody.
Availability 1-3 business days
Species Reactivity Human
Format Antigen affinity purified
Clonality Polyclonal (rabbit origin)
Isotype Rabbit IgG
Purity Antigen affinity
Buffer Lyophilized from 1X PBS with 2.5% BSA and 0.025% sodium azide
Gene ID 348
Localization Cytoplasmic, membranous
Applications Western Blot : 0.5-1ug/ml
Immunohistochemistry (FFPE) : 0.5-1ug/ml
ELISA (Capture; Recombinant Human Protein) : 1-5ug/ml
Immunofluorescence : 5ug/ml
Flow Cytometry : 1-3ug/million cells
Limitations This ApoE antibody is available for research use only.
Review this product on BioCompare and get a $20 Amazon gift card

Related Products

Description

Apolipoprotein E, also known as AD2 or LPG, is a major apoprotein of the chylomicron. It binds to a specific liver and peripheral cell receptor, and is essential for the normal catabolism of triglyceride-rich lipoprotein constituents. The gene maps to chromosome 19 in a cluster with the related apolipoprotein C1 and C2 genes. Mutations in ApoE result in familial dysbetalipoproteinemia, or type III hyperlipoproteinemia (HLP III), in which increased plasma cholesterol and triglycerides are the consequence of impaired clearance of chylomicron and VLDL remnants. Alternative splicing results in multiple ApoE transcript variants.

Application Notes

The stated application concentrations are suggested starting amounts. Titration of the ApoE antibody may be required due to differences in protocols and secondary/substrate sensitivity.

Immunogen

Human partial recombinant protein (AA 19-317) was used as the immunogen for this ApoE antibody.

Storage

After reconstitution, the ApoE antibody can be stored for up to one month at 4oC. For long-term, aliquot and store at -20oC. Avoid repeated freezing and thawing.

Cross
Bulk Quote Request Form
Name*:
Organization*:
Email*:
Phone Number*:
Catalog No.*:
Comments and Specifics(amount, formulation, etc.)*:
Validation code: Captchapackage Image


Can't read the image? click here to refresh.
    *required field

Your bulk quote request has been submitted successfully!

Please contact us if you have any questions.