• Tel: 858.663.9055
  • SeparatorEmail: info@nsjbio.com
  • Tel: 858.663.9055
  • Email: info@nsjbio.com
Home >> Antibodies >> APOD Antibody / Apolipoprotein D

APOD Antibody / Apolipoprotein D [clone APOD/3414] (V8554)

  Catalog No Formulation Size Price (USD)  
Image V8554-100UG 0.2 mg/ml in 1X PBS with 0.1 mg/ml BSA (US sourced) and 0.05% sodium azide 100 ug 539
Image
V8554-20UG 0.2 mg/ml in 1X PBS with 0.1 mg/ml BSA (US sourced) and 0.05% sodium azide 20 ug 249
Image
V8554SAF-100UG 1 mg/ml in 1X PBS; BSA free, sodium azide free 100 ug 539
Microvalidated
Bulk quote request
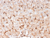
IHC staining of FFPE human liver with APOD antibody. HIER: boil tissue sections in pH 9 10mM Tris with 1mM EDTA for 20 min and allow to cool before testing.
IHC staining of FFPE human liver with APOD antibody. HIER: boil tissue sections in pH 9 10mM Tris with 1mM EDTA for 20 min and allow to cool before testing.
Analysis of HuProt(TM) microarray containing more than 19,000 full-length human proteins using APOD antibody. These results demonstrate the foremost specificity of the APOD/3414 mAb. Z- and S- score: The Z-score represents the strength of a signal that an antibody (in combination with a fluorescently-tagged anti-IgG secondary Ab) produces when binding to a particular protein on the HuProt(TM) array. Z-scores are described in units of standard deviations (SD's) above the mean value of all signals generated on that array. If the targets on the HuProt(TM) are arranged in descending order of the Z-score, the S-score is the difference (also in units of SD's) between the Z-scores. The S-score therefore represents the relative target specificity of an Ab to its intended target.
SDS-PAGE analysis of purified, BSA-free APOD antibody as confirmation of integrity and purity.
Availability 1-3 business days
Species Reactivity Human
Format Purified
Clonality Monoclonal (mouse origin)
Isotype Mouse IgG2c, kappa
Clone Name APOD/3414
Purity Protein G affinity chromatography
UniProt P05090
Localization Secreted
Applications Immunohistochemistry (FFPE) : 1-2ug/ml for 30 minutes at RT
Limitations This APOD antibody is available for research use only.
Review this product on BioCompare and get a $20 Amazon gift card

Related Products

Description

Lipids, such as phospholipids, triacylglycerols and cholesterol, are weakly soluble in aqueous solution and therefore are transported by circulation as components of lipoproteins. Lipoproteins are globular particles that consist of a non-polar core of triacylglycerols and cholesteryl esters surrounded by phospholipid, cholesterol and an amphiphilic coating of protein, known as apolipoproteins (apo). These complexes allow the dissolution and shuttling of their non-polar lipid components. At least nine different apolipoproteins are distributed in significant amounts in different human lipoproteins. Apolipoprotein D (apoD) is a member of the lipocalin superfamily of transporter proteins that bind small hydrophobic molecules, including arachidonic acid (AA). The ability of apoD to bind AA implicates it in pathways associated with membrane phospholipid signal transduction and metabolism. apoD expression has been shown to correlate both with cell cycle arrest and with prognosis in several types of malignancy, including central nervous system astrocytomas and medulloblastomas.

Application Notes

Optimal dilution of the APOD antibody should be determined by the researcher.

Immunogen

A portion of amino acids 21-119 from the human protein was used as the immunogen for the APOD antibody.

Storage

Store the APOD antibody at 2-8oC (with azide) or aliquot and store at -20oC or colder (without azide).

Cross
Bulk Quote Request Form
Name*:
Organization*:
Email*:
Phone Number*:
Catalog No.*:
Comments and Specifics(amount, formulation, etc.)*:
Validation code: Captchapackage Image


Can't read the image? click here to refresh.
    *required field

Your bulk quote request has been submitted successfully!

Please contact us if you have any questions.