• Tel: 858.663.9055
  • SeparatorEmail: info@nsjbio.com
  • Tel: 858.663.9055
  • Email: info@nsjbio.com
Home >> Antibodies >> APOBEC3G Antibody

APOBEC3G Antibody [clone 6C2] (RQ5219)

  Catalog No Formulation Size Price (USD)  
Image RQ5219 0.5mg/ml if reconstituted with 0.2ml sterile DI water 100 ul 439
Bulk quote request
Immunofluorescent staining of FFPE human MCF7 cells with APOBEC3G antibody (green) and DAPI nuclear stain (blue). HIER: steam section in pH6 citrate buffer for 20 min.
IHC staining of FFPE human tonsil with APOBEC3G antibody. HIER: boil tissue sections in pH8 EDTA for 20 min and allow to cool before testing.
IHC staining of FFPE human testis cancer with APOBEC3G antibody. HIER: boil tissue sections in pH8 EDTA for 20 min and allow to cool before testing.
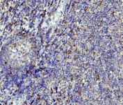
IHC staining of FFPE human intestinal cancer with APOBEC3G antibody. HIER: boil tissue sections in pH8 EDTA for 20 min and allow to cool before testing.
Western blot testing of human 1) Raji and 2) K562 cell lysate with APOBEC3G antibody. Predicted molecular weight ~46 kDa.
Flow cytometry testing of human ThP-1 cells with APOBEC3G antibody at 1ug/million cells (blocked with goat sera); Red=cells alone, Green=isotype control, Blue= APOBEC3G antibody.
Availability 1-3 business days
Species Reactivity Human
Format Antigen affinity purified
Clonality Monoclonal (mouse origin)
Isotype Mouse IgG1
Clone Name 6C2
Purity Affinity purified
Buffer Lyophilized from 1X PBS with 2% Trehalose and 0.025% sodium azide
UniProt Q9HC16
Applications Western Blot : 0.1-0.5ug/ml
Immunohistochemistry(FFPE) : 0.5-1ug/ml
Flow Cytometry : 1-3ug/1x10^6 cells
Immunofluorescence : 2-4ug/ml
Limitations This APOBEC3G antibody is available for research use only.
Review this product on BioCompare and get a $20 Amazon gift card

Related Products

  • Applications : WB, ELISA
    Reactivity : Human
  • Applications : WB, ELISA (peptide)
    Reactivity : Human
  • Applications : IHC, ELISA (peptide)
    Reactivity : Human
  • Applications : WB, IF
    Reactivity : Human, Mouse, Rat

Description

APOBEC3G (apolipoprotein B mRNA editing enzyme, catalytic polypeptide-like 3G) is a human enzyme encoded by the APOBEC3G gene. This gene is a member of the cytidine deaminase gene family. It is one of seven related genes or pseudogenes found in a cluster, thought to result from gene duplication, on chromosome 22. Members of the cluster encode proteins that are structurally and functionally related to the C to U RNA-editing cytidine deaminase APOBEC1. It is thought that the proteins may be RNA editing enzymes and have roles in growth or cell cycle control. The protein encoded by this gene has been found to be a specific inhibitor of human immunodeficiency virus-1 (HIV-1) infectivity.

Application Notes

Optimal dilution of the APOBEC3G antibody should be determined by the researcher.

Immunogen

A recombinant human protein (amino acids E191-N384) was used as the immunogen for the APOBEC3G antibody.

Storage

After reconstitution, the APOBEC3G antibody can be stored for up to one month at 4oC. For long-term, aliquot and store at -20oC. Avoid repeated freezing and thawing.

Cross
Bulk Quote Request Form
Name*:
Organization*:
Email*:
Phone Number*:
Catalog No.*:
Comments and Specifics(amount, formulation, etc.)*:
Validation code: Captchapackage Image


Can't read the image? click here to refresh.
    *required field

Your bulk quote request has been submitted successfully!

Please contact us if you have any questions.