• Tel: 858.663.9055
  • SeparatorEmail: info@nsjbio.com
  • Tel: 858.663.9055
  • Email: info@nsjbio.com
Home >> Antibodies >> APOBEC3A Antibody / PHO1

APOBEC3A Antibody / PHO1 (RQ4184)

  Catalog No Formulation Size Price (USD)  
Image RQ4184 0.5mg/ml if reconstituted with 0.2ml sterile DI water 100 ug 439
Bulk quote request
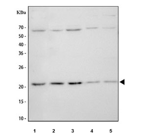
Western blot testing of 1) human HeLa, 2) human Caco-2, 3) human A549, 4) rat PC-12 and 5) mouse RAW264.7 cell lysate with APOBEC3A antibody. Predicted molecular weight ~23 kDa.
Availability 1-3 business days
Species Reactivity Human, Mouse, Rat
Format Antigen affinity purified
Clonality Polyclonal (rabbit origin)
Isotype Rabbit IgG
Purity Antigen affinity purified
Buffer Lyophilized from 1X PBS with 2% Trehalose
UniProt P31941
Applications Western Blot : 0.5-1ug/ml
Direct ELISA : 0.1-0.5ug/ml
Limitations This APOBEC3A antibody is available for research use only.
Review this product on BioCompare and get a $20 Amazon gift card

Related Products

Description

Apolipoprotein B mRNA editing enzyme, catalytic polypeptide-like 3A, also known as APOBEC3A, is a gene of the APOBEC3 family found in humans, non-human primates, and some other mammals. This gene is a member of the cytidine deaminase gene family. It is one of seven related genes or pseudogenes found in a cluster, thought to result from gene duplication, on chromosome 22.The protein plays a role in immunity, by restricting transmission of foreign DNA such as viruses. One mechanism of foreign DNA restriction is deamination of foreign double-stranded DNA cytidines to uridines, which leads to DNA degradation. However, other mechanisms are also thought to be involved, as anti-viral effect is not dependent on deaminase activity. Two transcript variants encoding different isoforms have been found for this gene.

Application Notes

Optimal dilution of the APOBEC3A antibody should be determined by the researcher.

Immunogen

A recombinant human protein corresponding to amino acids M1-L63 was used as the immunogen for the APOBEC3A antibody.

Storage

After reconstitution, the APOBEC3A antibody can be stored for up to one month at 4oC. For long-term, aliquot and store at -20oC. Avoid repeated freezing and thawing.

Cross
Bulk Quote Request Form
Name*:
Organization*:
Email*:
Phone Number*:
Catalog No.*:
Comments and Specifics(amount, formulation, etc.)*:
Validation code: Captchapackage Image


Can't read the image? click here to refresh.
    *required field

Your bulk quote request has been submitted successfully!

Please contact us if you have any questions.