• Tel: 858.663.9055
  • SeparatorEmail: info@nsjbio.com
  • Tel: 858.663.9055
  • Email: info@nsjbio.com
Home >> Antibodies >> APOB Antibody / Apolipoprotein B

APOB Antibody / Apolipoprotein B [clone APOB/3300] (V8461)

  Catalog No Formulation Size Price (USD)  
Image V8461-100UG 0.2 mg/ml in 1X PBS with 0.1 mg/ml BSA (US sourced) and 0.05% sodium azide 100 ug 539
Image
V8461-20UG 0.2 mg/ml in 1X PBS with 0.1 mg/ml BSA (US sourced) and 0.05% sodium azide 20 ug 249
Image
V8461SAF-100UG 1 mg/ml in 1X PBS; BSA free, sodium azide free 100 ug 539
Microvalidated
Bulk quote request
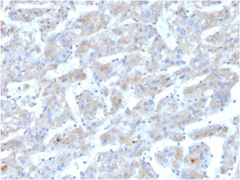
IHC staining of FFPE human liver with APOB antibody. HIER: boil tissue sections in pH 9 10mM Tris with 1mM EDTA for 20 min and allow to cool before testing.
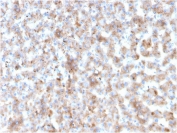
IHC staining of FFPE human liver with APOB antibody. HIER: boil tissue sections in pH 9 10mM Tris with 1mM EDTA for 20 min and allow to cool before testing.
Analysis of HuProt(TM) microarray containing more than 19,000 full-length human proteins using APOB antibody. These results demonstrate the foremost specificity of the APOB/3300 mAb. Z- and S- score: The Z-score represents the strength of a signal that an antibody (in combination with a fluorescently-tagged anti-IgG secondary Ab) produces when binding to a particular protein on the HuProt(TM) array. Z-scores are described in units of standard deviations (SD's) above the mean value of all signals generated on that array. If the targets on the HuProt(TM) are arranged in descending order of the Z-score, the S-score is the difference (also in units of SD's) between the Z-scores. The S-score therefore represents the relative target specificity of an Ab to its intended target.
SDS-PAGE analysis of purified, BSA-free APOB antibody as confirmation of integrity and purity.
Availability 1-3 business days
Species Reactivity Human
Format Purified
Clonality Monoclonal (mouse origin)
Isotype Mouse IgG2b, kappa
Clone Name APOB/3300
Purity Protein G affinity chromatography
UniProt P04114
Localization Cytoplasm, secreted
Applications Immunohistochemistry (FFPE) : 1-2ug/ml for 30 minutes at RT
Limitations This APOB antibody is available for research use only.
Review this product on BioCompare and get a $20 Amazon gift card

Related Products

Description

Post-transcriptional editing of apolipoprotein B (apoB) mRNA is regulated by APOBEC1 (also designated human (or rat) small intestinal apolipoprotein B mRNA editing protein, HEPR or REPR) in hepatic cells to achieve a steady state proportion of edited and unedited RNA molecules. Two forms of apoB are known to circulate in the plasma of mammals. ApoB-100 is a protein primarily synthesized in the liver as a structural component of very low density lipoprotein particles. A truncated form of apoB-100, apoB-48, is synthesized in the small intestine and contains the amino-terminal 2,152 amino acids of the larger protein. This organ-specific partitioning of apoB production is the resultof RNA editing of a common apoB gene.

Application Notes

Optimal dilution of the APOB antibody should be determined by the researcher.

Immunogen

A portion of amino acids 592-689 from the human protein was used as the immunogen for the APOB antibody.

Storage

Store the APOB antibody at 2-8oC (with azide) or aliquot and store at -20oC or colder (without azide).

Cross
Bulk Quote Request Form
Name*:
Organization*:
Email*:
Phone Number*:
Catalog No.*:
Comments and Specifics(amount, formulation, etc.)*:
Validation code: Captchapackage Image


Can't read the image? click here to refresh.
    *required field

Your bulk quote request has been submitted successfully!

Please contact us if you have any questions.