• Tel: 858.663.9055
  • SeparatorEmail: info@nsjbio.com
  • Tel: 858.663.9055
  • Email: info@nsjbio.com
Home >> Antibodies >> APOA1 Antibody

APOA1 Antibody (F50384)

  Catalog No Formulation Size Price (USD)  
Image F50384-0.4ML In 1X PBS, pH 7.4, with 0.09% sodium azide 0.4 ml 429
Image
F50384-0.08ML In 1X PBS, pH 7.4, with 0.09% sodium azide 0.08 ml 199
Bulk quote request
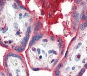
IHC analysis of FFPE human placenta tissue stained with APOA1 antibody
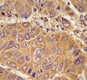
IHC analysis of FFPE human hepatocarcinoma tissue stained with APOA1 antibody
Western blot analysis of APOA1 antibody and 293 cell lysate either nontransfected (Lane 1) or transiently transfected (2) with the APOA1 gene. Predicted molecular weight ~30kDa.
Western blot analysis of APOA1 antibody and HepG2 lysate. Predicted molecular weight ~30kDa.
Availability 1-3 business days
Species Reactivity Human
Format Purified
Clonality Polyclonal (rabbit origin)
Isotype Rabbit Ig
Purity Purified
UniProt P02647
Localization Cytoplasmic, membranous
Applications Western Blot : 1:1000
IHC (Paraffin) : 1:10-1:50
Limitations This APOA1 antibody is available for research use only.
Review this product on BioCompare and get a $20 Amazon gift card

Related Products

Description

Apolipoprotein A-I, is the major protein component of high density lipoprotein (HDL) in plasma. APOA1 promotes cholesterol efflux from tissues to the liver for excretion, and it is a cofactor for lecithin cholesterolacyltransferase (LCAT) which is responsible for the formation of most plasma cholesteryl esters. Defects in the APOA1 gene are associated with HDL deficiencies, including Tangier disease, and with systemic non-neuropathic amyloidosis.

Application Notes

Titration of the APOA1 antibody may be required due to differences in protocols and secondary/substrate sensitivity.

Immunogen

A portion of amino acids 10-37 from the human protein was used as the immunogen for this APOA1 antibody.

Storage

Aliquot the APOA1 antibody and store frozen at -20oC or colder. Avoid repeated freeze-thaw cycles.

Cross
Bulk Quote Request Form
Name*:
Organization*:
Email*:
Phone Number*:
Catalog No.*:
Comments and Specifics(amount, formulation, etc.)*:
Validation code: Captchapackage Image


Can't read the image? click here to refresh.
    *required field

Your bulk quote request has been submitted successfully!

Please contact us if you have any questions.