• Tel: 858.663.9055
  • SeparatorEmail: info@nsjbio.com
  • Tel: 858.663.9055
  • Email: info@nsjbio.com
Home >> Antibodies >> APH1A Antibody

APH1A Antibody (R34323)

  Catalog No Formulation Size Price (USD)  
Image R34323-100UG 0.5 mg/ml in 1X TBS, pH7.3, with 0.5% BSA (US sourced) and 0.02% sodium azide 100 ug 449
Bulk quote request
Western blot testing of human brain [cerebral cortex] lysate with APH1A antibody at 0.05ug/ml. Predicted molecular weight: ~27 kDa.
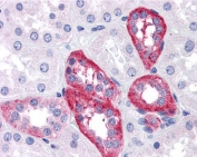
IHC testing of FFPE human kidney tissue with APH1A antibody at 5ug/ml. Required HIER: steamed antigen retrieval with pH6 citrate buffer; AP-staining.
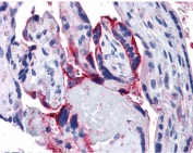
IHC testing of FFPE human placenta tissue with APH1A antibody at 5ug/ml. Required HIER: steamed antigen retrieval with pH6 citrate buffer; AP-staining.
Availability 1-3 business days
Species Reactivity Human
Predicted Reactivity Mouse, Rat, Dog, Pig, Cow
Format Antigen affinity purified
Clonality Polyclonal (goat origin)
Isotype Goat Ig
Purity Antigen affinity
Gene ID 51107
Localization Cytoplasmic
Applications Western Blot : 0.05-0.1ug/ml
IHC (FFPE) : 5ug/ml
ELISA (peptide) LOD : 1:128000
Limitations This APH1A antibody is available for research use only.
Review this product on BioCompare and get a $20 Amazon gift card

Related Products

Description

Additional name(s) for this target protein: Anterior pharynx defective 1 homolog A

Application Notes

Optimal dilution of the APH1A antibody should be determined by the researcher.

1. This APH1A antibody is specific for isoforms 1 and 2.

Immunogen

Amino acids HVTDRSDARLQYG were used as the immunogen for this APH1A antibody.

Storage

Aliquot and store the APH1A antibody at -20oC.

Cross
Bulk Quote Request Form
Name*:
Organization*:
Email*:
Phone Number*:
Catalog No.*:
Comments and Specifics(amount, formulation, etc.)*:
Validation code: Captchapackage Image


Can't read the image? click here to refresh.
    *required field

Your bulk quote request has been submitted successfully!

Please contact us if you have any questions.