• Tel: 858.663.9055
  • SeparatorEmail: info@nsjbio.com
  • Tel: 858.663.9055
  • Email: info@nsjbio.com
Home >> Antibodies >> APH1A Antibody / Aph-1alpha

APH1A Antibody / Aph-1alpha (R32302)

  Catalog No Formulation Size Price (USD)  
Image R32302 0.5mg/ml if reconstituted with 0.2ml sterile DI water 100 ug 439
Bulk quote request
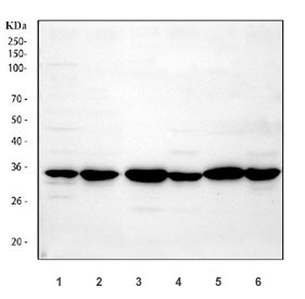
Western blot testing of 1) human U-87 MG, 2) human U-251, 3) rat brain, 4) rat C6, 5) mouse brain and 6) mouse Neuro-2a cell lysate using APH1A antibody. Expected molecular weight: 27~29 kDa.
Availability 1-3 business days
Species Reactivity Human, Mouse, Rat
Format Antigen affinity purified
Clonality Polyclonal (rabbit origin)
Isotype Rabbit IgG
Purity Antigen affinity
Buffer Lyophilized from 1X PBS with 2% Trehalose
UniProt Q96BI3
Applications Western Blot : 0.5-1ug/ml
Limitations This APH1A antibody is available for research use only.
Review this product on BioCompare and get a $20 Amazon gift card

Related Products

  • Applications : WB, IHC-P, ELISA (peptide)
    Reactivity : Human
    Pred. Reactivity : Mouse, Rat, Dog, Pig, Cow
  • Applications : FACS, IF, IHC, WB
    Reactivity : Human, Mouse, Rat

Description

APH1A encodes a component of the gamma secretase complex that cleaves integral membrane proteins such as Notch receptors and beta-amyloid precursor protein. The gamma secretase complex contains this gene product, or the paralogous anterior pharynx defective 1 homolog B (APH1B), along with the presenilin, nicastrin, and presenilin enhancer-2 proteins. The precise function of this seven-transmembrane-domain protein is unknown though it is suspected of facilitating the association of nicastrin and presenilin in the gamma secretase complex as well as interacting with substrates of the gamma secretase complex prior to their proteolytic processing. Polymorphisms in a promoter region of this gene have been associated with an increased risk for developing sporadic Alzheimer's disease. Alternative splicing results in multiple protein-coding and non-protein-coding transcript variants.

Application Notes

Optimal dilution of the APH1A antibody should be determined by the researcher.

Immunogen

Amino acids LRSIQRSLLCRRQEDSRVMVYSALRIPPED of human APH1A were used as the immunogen for the APH1A antibody.

Storage

After reconstitution, the APH1A antibody can be stored for up to one month at 4oC. For long-term, aliquot and store at -20oC. Avoid repeated freezing and thawing.

Cross
Bulk Quote Request Form
Name*:
Organization*:
Email*:
Phone Number*:
Catalog No.*:
Comments and Specifics(amount, formulation, etc.)*:
Validation code: Captchapackage Image


Can't read the image? click here to refresh.
    *required field

Your bulk quote request has been submitted successfully!

Please contact us if you have any questions.