• Tel: 858.663.9055
  • SeparatorEmail: info@nsjbio.com
  • Tel: 858.663.9055
  • Email: info@nsjbio.com
Home >> Antibodies >> APEX2 Antibody

APEX2 Antibody (F55013)

  Catalog No Formulation Size Price (USD)  
Image F55013-0.4ML In 1X PBS, pH 7.4, with 0.09% sodium azide 0.4 ml 429
Image
F55013-0.08ML In 1X PBS, pH 7.4, with 0.09% sodium azide 0.08 ml 199
Bulk quote request
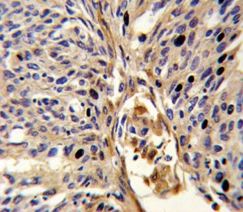
IHC testing of FFPE human lung carcinoma tissue with APEX2 antibody. HIER: steam section in pH6 citrate buffer for 20 min and allow to cool prior to staining.
Immunofluorescent staining of human U-251 cells with APEX2 antibody (green) and anti-Actin (red).
Western blot testing of human MCF7 cell lysate with APEX2 antibody. Predicted molecular weight ~57 kDa.
Flow cytometry testing of human MCF7 cells with APEX2 antibody; Blue=isotype control, Green= APEX2 antibody.
Availability 1-3 business days
Species Reactivity Human
Format Purified
Clonality Polyclonal (rabbit origin)
Isotype Rabbit Ig
Purity Antigen affinity purified
UniProt Q9UBZ4
Localization Cytoplasmic, nuclear
Applications Immunofluorescence : 1:25
Flow Cytometry : 1:10-1:50 (1x10e6 cells)
Immunohistochemistry (FFPE) : 1:10-1:50
Western Blot : 1:500-1:1000
Limitations This APEX2 antibody is available for research use only.
Review this product on BioCompare and get a $20 Amazon gift card

Related Products

  • Applications : WB, FACS, Direct ELISA
    Reactivity : Human

Description

APEX2 may participate in both nuclear and mitochondrial post-replicative base excision repair (BER). In the nucleus functions in the PCNA-dependent BER pathway.

Application Notes

The stated application concentrations are suggested starting points. Titration of the APEX2 antibody may be required due to differences in protocols and secondary/substrate sensitivity.

Immunogen

A portion of amino acids 143-171 from the human protein was used as the immunogen for the APEX2 antibody.

Storage

Aliquot the APEX2 antibody and store frozen at -20oC or colder. Avoid repeated freeze-thaw cycles.

Cross
Bulk Quote Request Form
Name*:
Organization*:
Email*:
Phone Number*:
Catalog No.*:
Comments and Specifics(amount, formulation, etc.)*:
Validation code: Captchapackage Image


Can't read the image? click here to refresh.
    *required field

Your bulk quote request has been submitted successfully!

Please contact us if you have any questions.