• Tel: 858.663.9055
  • SeparatorEmail: info@nsjbio.com
  • Tel: 858.663.9055
  • Email: info@nsjbio.com
Home >> Antibodies >> APE1 Antibody

APE1 Antibody (R35047)

  Catalog No Formulation Size Price (USD)  
Image R35047-100UG 0.5 mg/ml in 1X TBS, pH7.3, with 0.5% BSA (US sourced) and 0.02% sodium azide 100 ug 449
Bulk quote request
Western blot testing of A431 [A], HeLa [B] and MCF7 [C] nuclear lysates with APE1 antibody at 0.3ug/ml. Expected/observed molecular weight: ~38kDa.
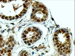
IHC staining of FFPE human breast with APE1 antibody at 4ug/ml. HIER: steamed with pH9 Tris/EDTA buffer, HRP-staining.
Availability 1-3 business days
Species Reactivity Human
Predicted Reactivity Cow, Dog, Pig
Format Antigen affinity purified
Clonality Polyclonal (goat origin)
Isotype Goat Ig
Purity Antigen affinity
Gene ID 328
Applications Western Blot : 0.1-0.3ug/ml
Immunohistochemistry (FFPE) : 4-6ug/ml
ELISA (peptide) LOD : 1:16000
Limitations This APE1 antibody is available for research use only.
Review this product on BioCompare and get a $20 Amazon gift card

Related Products

Description

Additional name(s) for this target protein: AP endonuclease class 1; APEX1

Application Notes

Optimal dilution of the APE1 antibody should be determined by the researcher.

Immunogen

Amino acids PKRGKKGAVAEDGD were used as the immunogen for this APE1 antibody.

Storage

Aliquot and store the APE1 antibody at -20oC.

Cross
Bulk Quote Request Form
Name*:
Organization*:
Email*:
Phone Number*:
Catalog No.*:
Comments and Specifics(amount, formulation, etc.)*:
Validation code: Captchapackage Image


Can't read the image? click here to refresh.
    *required field

Your bulk quote request has been submitted successfully!

Please contact us if you have any questions.