• Tel: 858.663.9055
  • SeparatorEmail: info@nsjbio.com
  • Tel: 858.663.9055
  • Email: info@nsjbio.com
Home >> Antibodies >> APE1 Antibody / APEX1

APE1 Antibody / APEX1 (R31549)

  Catalog No Formulation Size Price (USD)  
Image R31549 0.5mg/ml if reconstituted with 0.2ml sterile DI water 100 ug 439
Bulk quote request
Western blot testing of APE1 antibody and Lane 1: rat NRK; 2: human HeLa; 3: rat PC12; 4: rat RH35; 5: mouse HEPA; 6: human MCF7: human A549; 8: human placenta; 9: human A431 lysate. Expected molecular weight: ~38 kDa.
Western blot testing of APE1 antibody and recombinant human protein (0.5ng)
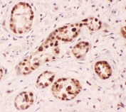
IHC-P: APE1 antibody testing of human lung cancer tissue. HIER: steam section in pH6 citrate buffer for 20 min.
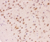
IHC-P staining of mouse brain tissue. HIER: steam section in pH6 citrate buffer for 20 min.
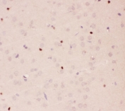
IHC-P staining of rat brain tissue. HIER: steam section in pH6 citrate buffer for 20 min.
IF/ICC staining of FFPE human U-2 OS cells with APE1 antibody (green) at 2ug/ml and DAPI nuclear stain (blue). HIER: steam section in pH6 citrate buffer for 20 min.
Flow cytometry testing of human U937 cells with APE1 antibody at 1ug/10^6 cells (blocked with goat sera); Red=cells alone, Green=isotype control, Blue= APE1 antibody.
Immunofluorescent staining of FFPE human colon cancer tissue with APE1 antibody. HIER: steam section in pH6 citrate buffer for 20 min.
Availability 1-3 business days
Species Reactivity Human, Mouse, Rat
Format Antigen affinity purified
Clonality Polyclonal (rabbit origin)
Isotype Rabbit IgG
Purity Antigen affinity
Buffer Lyophilized from 1X PBS with 2.5% BSA and 0.025% sodium azide
Gene ID 328
Applications Western Blot : 0.5-1ug/ml
Immunohistochemistry (FFPE) : 1-2ug/ml
Immunofluorescence : 2-4ug/ml
Flow Cytometry : 1-3ug/million cells
Limitations This APE1 antibody is available for research use only.
Review this product on BioCompare and get a $20 Amazon gift card

Related Products

Description

APEX1, also called apurinic endonuclease (APE), is a DNA repair enzyme having apurinic/apyrimidinic (AP) endonuclease, 3-prime, 5-prime-exonuclease, DNA 3-prime repair diesterase, and DNA 3-prime-phosphatase activities. The human APEX1 gene consists of 5 exons spanning 2.64 kb and exists as a single copy in the haploid genome. Using in situ hybridization, the gene is mapped to 14q11.2-q12. The predicted protein, which contains probable nuclear transport signals, was identified as a member of a family of DNA repair enzymes found in lower organisms. The abundance of the large form of APE1 was increased in leiomyoma extracts relative to myometrial tissue extracts, and the large form was dominant in cell lines derived from leiomyosarcomas. The exonuclease activity of nuclear APE1 can remove the anti-HIV nucleoside analogs AZT and D4T from the 3-prime terminus of a nick more efficiently than can cytosolic exonucleases.

Application Notes

The stated application concentrations are suggested starting amounts. Titration of the APE1 antibody may be required due to differences in protocols and secondary/substrate sensitivity.

Immunogen

Human partial recombinant protein (AA 2-318) was used as the immunogen for this APE1 antibody.

Storage

After reconstitution, the APE1 antibody can be stored for up to one month at 4oC. For long-term, aliquot and store at -20oC. Avoid repeated freezing and thawing.

Cross
Bulk Quote Request Form
Name*:
Organization*:
Email*:
Phone Number*:
Catalog No.*:
Comments and Specifics(amount, formulation, etc.)*:
Validation code: Captchapackage Image


Can't read the image? click here to refresh.
    *required field

Your bulk quote request has been submitted successfully!

Please contact us if you have any questions.