• Tel: 858.663.9055
  • SeparatorEmail: info@nsjbio.com
  • Tel: 858.663.9055
  • Email: info@nsjbio.com
Home >> Antibodies >> APE1 Antibody / APEX1

APE1 Antibody / APEX1 [clone CPTC-APEX1-2] (V7287)

  Catalog No Formulation Size Price (USD)  
Image V7287-100UG 0.2 mg/ml in 1X PBS with 0.1 mg/ml BSA (US sourced) and 0.05% sodium azide 100 ug 539
Image
V7287-20UG 0.2 mg/ml in 1X PBS with 0.1 mg/ml BSA (US sourced) and 0.05% sodium azide 20 ug 249
Image
V7287SAF-100UG 1 mg/ml in 1X PBS; BSA free, sodium azide free 100 ug 539
Image
V7287IHC-7ML Prediluted in 1X PBS with 0.1 mg/ml BSA (US sourced) and 0.05% sodium azide; *For IHC use only* 7 ml 539
Microvalidated
Bulk quote request
Western blot testing of human cell lysates with APE1 antibody (clone CPTC-APEX1-2). Predicted molecular weight ~38 kDa.
Immunofluorescent staining of human permeabilized HeLa cells with APE1 antibody (clone CPTC-APEX1-2). Green = APE1 antibody + secondary, Red = Phalloidin.
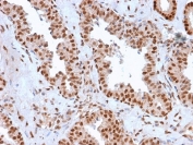
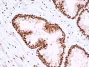
IHC testing of FFPE human prostate carcinoma with APE1 antibody (clone CPTC-APEX1-2). Required HIER: steam section in pH6 citrate buffer for 20 min and allow to cool prior to staining.
IHC testing of FFPE human prostate carcinoma with APE1 antibody (clone CPTC-APEX1-2). Required HIER: steam section in pH6 citrate buffer for 20 min and allow to cool prior to staining.
Intracellular FACS staining of human MCF7 cells with APE1 antibody (blue) and isotype control (red).
Analysis of HuProt(TM) microarray containing more than 19,000 full-length human proteins using APE1 antibody (clone CPTC-APEX1-2). These results demonstrate the foremost specificity of the CPTC-APEX1-2 mAb.
Z- and S- score: The Z-score represents the strength of a signal that an antibody (in combination with a fluorescently-tagged anti-IgG secondary Ab) produces when binding to a particular protein on the HuProt(TM) array. Z-scores are described in units of standard deviations (SD's) above the mean value of all signals generated on that array. If the targets on the HuProt(TM) are arranged in descending order of the Z-score, the S-score is the difference (also in units of SD's) between the Z-scores. The S-score therefore represents the relative target specificity of an Ab to its intended target.
SDS-PAGE analysis of purified, BSA-free APE1 antibody (clone CPTC-APEX1-2) as confirmation of integrity and purity.
Availability 1-3 business days
Species Reactivity Human
Format Purified
Clonality Monoclonal (mouse origin)
Isotype Mouse IgG1, kappa
Clone Name CPTC-APEX1-2
Purity Protein G affinity chromatography
UniProt P27695
Localization Nuclear, cytoplasmic (mitochondria)
Applications Flow Cytometry : 1-2ug/10^6 cells
Immunofluorescence : 1-2ug/ml
Western Blot : 1-2ug/ml
Immunohistochemistry (FFPE) : 0.5-1ug/ml for 30 min at RT
Limitations This APE1 antibody is available for research use only.
Review this product on BioCompare and get a $20 Amazon gift card

Related Products

Description

APEX / APE1 is a multifunctional protein that plays a central role in the cellular response to oxidative stress. The two major activities of APEX1 in DNA repair and redox regulation of transcriptional factors. Functions as a apurinic/apyrimidinic (AP) endodeoxyribonuclease in the DNA base excision repair (BER) pathway of DNA lesions induced by oxidative and alkylating agents. Patients with genetic variants in APEX1 and XRCC1 have been shown to have a higher risk of lung cancer. Elevated APEX1 levels observed in human testicular cancer may be related to relative resistance to therapy and therefore may serve as a diagnostic marker for refractory disease.

Application Notes

Optimal dilution of the APE1 antibody to be determined by the researcher.

1. The prediluted format is supplied in a dropper bottle and is optimized for use in IHC. After epitope retrieval step (if required), drip mAb solution onto the tissue section and incubate at RT for 30 min.

Immunogen

Recombinant full-length human protein was used as the immunogen for the APE1 antibody.

Storage

Store the APE1 antibody at 2-8oC (with azide) or aliquot and store at -20oC or colder (without azide).

Cross
Bulk Quote Request Form
Name*:
Organization*:
Email*:
Phone Number*:
Catalog No.*:
Comments and Specifics(amount, formulation, etc.)*:
Validation code: Captchapackage Image


Can't read the image? click here to refresh.
    *required field

Your bulk quote request has been submitted successfully!

Please contact us if you have any questions.