• Tel: 858.663.9055
  • SeparatorEmail: info@nsjbio.com
  • Tel: 858.663.9055
  • Email: info@nsjbio.com
Home >> Antibodies >> APE1 Antibody

APE1 Antibody [clone 5C11] (RQ4515)

  Catalog No Formulation Size Price (USD)  
Image RQ4515 0.5mg/ml if reconstituted with 0.2ml sterile DI water 100 ug 439
Bulk quote request
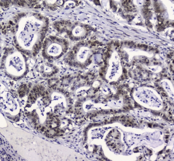
IHC testing of FFPE human intestinal cancer with APE1 antibody at 2ug/ml. HIER: boil tissue sections in pH6, 10mM citrate buffer, for 10-20 min followed by cooling at RT for 20 min.
Western blot testing of human 1) HeLa, 2) MCF7, 3) COLO-320, 4) HepG2, 5) A549, 6) PANC-1, 7) 22RV1 and 8) MDA-MB-453 lysate with APE1 antibody at 1ug/ml. Predicted molecular weight ~38 kDa.
Availability 1-3 business days
Species Reactivity Human
Format Purified
Clonality Monoclonal
Isotype Mouse IgG2b
Clone Name 5C11
Purity Protein G affinity
Buffer Lyophilized from 1X PBS with 2% Trehalose and 0.025% sodium azide
UniProt P27695
Localization Nucleus, cytoplasm, ER, mitochondria
Applications Western Blot : 0.5-1ug/ml
Immunohistochemistry (FFPE) : 1-2ug/ml
Limitations This APE1 antibody is available for research use only.
Review this product on BioCompare and get a $20 Amazon gift card

Related Products

Description

APEX1, also called apurinic endonuclease (APE), is a DNA repair enzyme having apurinic/apyrimidinic (AP) endonuclease, 3-prime, 5-prime-exonuclease, DNA 3-prime repair diesterase, and DNA 3-prime-phosphatase activities. The human APEX1 gene consists of 5 exons spanning 2.64 kb and exists as a single copy in the haploid genome. Using in situ hybridization, the APEX1 gene is mapped to 14q11.2-q12. The predicted APEX1 protein, which contained probable nuclear transport signals, was identified as a member of a family of DNA repair enzymes found in lower organisms. The abundance of the large form of APEX1 was increased in leiomyoma extracts relative to myometrial tissue extracts, and the large form was dominant in cell lines derived from leiomyosarcomas. The exonuclease activity of nuclear APEX1 can remove the anti-HIV nucleoside analogs AZT and D4T from the 3-prime terminus of a nick more efficiently than can cytosolic exonucleases.

Application Notes

Optimal dilution of the APE1 antibody should be determined by the researcher.

Immunogen

Human APE1 recombinant protein (amino acids P2-L318) was used as the immunogen for the APE1 antibody.

Storage

After reconstitution, the APE1 antibody can be stored for up to one month at 4oC. For long-term, aliquot and store at -20oC. Avoid repeated freezing and thawing.

Cross
Bulk Quote Request Form
Name*:
Organization*:
Email*:
Phone Number*:
Catalog No.*:
Comments and Specifics(amount, formulation, etc.)*:
Validation code: Captchapackage Image


Can't read the image? click here to refresh.
    *required field

Your bulk quote request has been submitted successfully!

Please contact us if you have any questions.