• Tel: 858.663.9055
  • SeparatorEmail: info@nsjbio.com
  • Tel: 858.663.9055
  • Email: info@nsjbio.com
Home >> Antibodies >> AP2A1 Antibody / Alpha 1 adaptin

AP2A1 Antibody / Alpha 1 adaptin [clone AFDO-1] (RQ4811)

  Catalog No Formulation Size Price (USD)  
Image RQ4811 Antibody in PBS with 0.02% sodium azide, 50% glycerol and 0.4-0.5mg/ml BSA 100 ul 439
Microvalidated Rab Mono Image
Bulk quote request
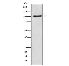
Western blot testing of human A431 cell lysate with AP2A1 antibody. Predicted molecular weight ~108 kDa.
Availability 1-2 weeks
Species Reactivity Human
Format Purified
Clonality Rabbit Monoclonal
Isotype Rabbit IgG
Clone Name AFDO-1
Purity Affinity purified
UniProt O95782
Applications Western Blot : 1:500-1:2000
Limitations This AP2A1 antibody is available for research use only.
Review this product on BioCompare and get a $20 Amazon gift card

Related Products

  • Applications : WB, ICC, IHC-P, ELISA (peptide)
    Reactivity : Human, Mouse
    Pred. Reactivity : Rat, Pig, Cow
  • Applications : WB, ELISA (peptide)
    Reactivity : Human, Mouse
    Pred. Reactivity : Rat, Pig, Cow

Description

'AP-2 complex subunit alpha-1' is a component of the adaptor protein complex 2 (AP-2) . Adaptor protein complexes function in protein transport via transport vesicles in different membrane traffic pathways. Adaptor protein complexes are vesicle coat components and appear to be involved in cargo selection and vesicle formation. [UniProt]

Application Notes

Optimal dilution of the AP2A1 antibody should be determined by the researcher.

Immunogen

A synthetic peptide specific to human AP2A1 / Alpha 1 adaptin was used as the immunogen for the AP2A1 antibody.

Storage

Store the AP2A1 antibody at -20oC.

Cross
Bulk Quote Request Form
Name*:
Organization*:
Email*:
Phone Number*:
Catalog No.*:
Comments and Specifics(amount, formulation, etc.)*:
Validation code: Captchapackage Image


Can't read the image? click here to refresh.
    *required field

Your bulk quote request has been submitted successfully!

Please contact us if you have any questions.