• Tel: 858.663.9055
  • SeparatorEmail: info@nsjbio.com
  • Tel: 858.663.9055
  • Email: info@nsjbio.com
Home >> Antibodies >> ANXA10 Antibody / Annexin A10

ANXA10 Antibody / Annexin A10 (RQ7403)

  Catalog No Formulation Size Price (USD)  
Image RQ7403 0.5mg/ml if reconstituted with 0.2ml sterile DI water 100 ug 439
Bulk quote request
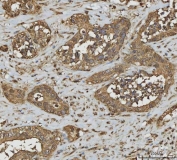
IHC staining of FFPE human thyroid cancer tissue with ANXA10 antibody. HIER: boil tissue sections in pH8 EDTA for 20 min and allow to cool before testing.
IHC staining of FFPE human lung adenocarcinoma tissue with ANXA10 antibody. HIER: boil tissue sections in pH8 EDTA for 20 min and allow to cool before testing.
IHC staining of FFPE human placenta tissue with ANXA10 antibody. HIER: boil tissue sections in pH8 EDTA for 20 min and allow to cool before testing.
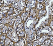
IHC staining of FFPE human appendiceal adenocarcinoma tissue with ANXA10 antibody. HIER: boil tissue sections in pH8 EDTA for 20 min and allow to cool before testing.
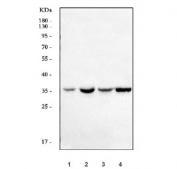
Western blot testing of human 1) Caco-2, 2) HeLa, 3) A431 and 4) K562 cell lysate with ANXA10 antibody. Predicted molecular weight ~37 kDa.
Flow cytometry testing of human PC-3 cells with ANXA10 antibody at 1ug/million cells (blocked with goat sera); Red=cells alone, Green=isotype control, Blue= ANXA10 antibody.
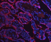
Immunofluorescent staining of FFPE human placental tissue with ANXA10 antibody (red) and DAPI nuclear stain (blue). HIER: steam section in pH8 EDTA buffer for 20 min.
Availability 1-3 business days
Species Reactivity Human
Format Antigen affinity purified
Clonality Polyclonal (rabbit origin)
Isotype Rabbit IgG
Purity Antigen affinity purified
Buffer Lyophilized from 1X PBS with 2% Trehalose
UniProt Q9UJ72
Applications Western Blot : 0.5-1ug/ml
Immunohistochemistry (FFPE) : 2-5ug/ml
Flow Cytometry : 1-3ug/million cells
Immunofluorescence : 5ug/ml
Direct ELISA : 0.1-0.5ug/ml
Limitations This ANXA10 antibody is available for research use only.
Review this product on BioCompare and get a $20 Amazon gift card

Related Products

  • Applications : WB, IHC-P
    Reactivity : Human, Rat
  • Applications : IHC, ELISA (peptide)
    Reactivity : Human
    Pred. Reactivity : Cow, Mouse, Rat

Description

ANXA10 (Annexin A10) is a member of the annexin family of calcium-dependent phospholipid-binding proteins. By FISH, Morgan et al.(1999) mapped the ANXA10 gene to chromosome 4q33. Morgan et al.(1999) suggested that the ablation or depletion of principal calcium-binding sites in annexins A9 and A10, respectively, may dispose them to function in distinct tissue environments where calcium sensitivity is not a major functional determinant.

Application Notes

Optimal dilution of the ANXA10 antibody should be determined by the researcher.

Immunogen

Recombinant human protein (amino acids N49-Y324) was used as the immunogen for the ANXA10 antibody.

Storage

After reconstitution, the ANXA10 antibody can be stored for up to one month at 4oC. For long-term, aliquot and store at -20oC. Avoid repeated freezing and thawing.

Cross
Bulk Quote Request Form
Name*:
Organization*:
Email*:
Phone Number*:
Catalog No.*:
Comments and Specifics(amount, formulation, etc.)*:
Validation code: Captchapackage Image


Can't read the image? click here to refresh.
    *required field

Your bulk quote request has been submitted successfully!

Please contact us if you have any questions.