- Tel: 858.663.9055
- 
									 Email: info@nsjbio.com Email: info@nsjbio.com
- Tel: 858.663.9055
- Email: info@nsjbio.com
 Email: info@nsjbio.com
Email: info@nsjbio.com
								Related Products
| 
 | 
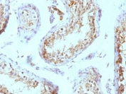
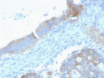
Anti-Perlecan antibody clone SPM255 is a monoclonal antibody directed against perlecan, a large heparan sulfate proteoglycan found in basement membranes and extracellular matrices. Perlecan is a multifunctional protein that interacts with growth factors, adhesion molecules, and structural matrix proteins. It contributes to basement membrane stability, endothelial cell function, angiogenesis, and cartilage development. Because of its wide biological roles, perlecan is a focus in vascular biology, tumor research, and musculoskeletal studies. NSJ Bioreagents provides Anti-Perlecan antibody clone SPM255 as a high-quality tool for cell biology and disease research.
The antibody produces strong extracellular and pericellular staining in tissues rich in basement membranes, including kidney, vascular endothelium, and cartilage. In developmental biology, it has been applied to studies of organogenesis, where perlecan regulates cell signaling and tissue morphogenesis. Its ability to bind growth factors such as fibroblast growth factors makes it essential for processes like angiogenesis and skeletal formation.
In vascular biology, the antibody has been used to examine endothelial barrier function and vascular remodeling. Perlecan regulates permeability and supports endothelial survival, making it an important factor in both normal physiology and vascular disease.
In oncology, Anti-Perlecan antibody clone SPM255 supports studies into tumor growth and metastasis. Tumor cells exploit perlecan to enhance angiogenesis and invasion, and detection of perlecan has been associated with tumor progression in multiple cancer types. This antibody has been valuable in exploring how targeting perlecan might disrupt tumor-associated vascularization.
The antibody is also used in musculoskeletal research, where perlecan is critical for cartilage integrity and joint function. Altered perlecan expression has been linked to osteoarthritis and cartilage injury, making this antibody relevant to orthopedic and regenerative studies.
Validated for tissue-based and cell-based assays, the antibody provides reproducible results with minimal background. Alternate names include HSPG2 antibody, basement membrane proteoglycan antibody, and extracellular matrix perlecan antibody.
Optimal dilution of the anti-Perlecan antibody should be determined by the researcher.
1. Staining of formalin-fixed tissues requires boiling tissue sections in pH 9 10mM Tris with 1mM EDTA for 10-20 min followed by cooling at RT for 20 min
2. The prediluted format is supplied in a dropper bottle and is optimized for use in IHC. After epitope retrieval step (if required), drip mAb solution onto the tissue section and incubate at RT for 30 min.
A murine EHS laminin preparation was used as the immunogen for the anti-Perlecan antibody.
Store the anti-Perlecan antibody at 2-8oC (with azide) or aliquot and store at -20oC or colder (without azide).
 
Your bulk quote request has been submitted successfully!
Please contact us if you have any questions.