• Tel: 858.663.9055
  • SeparatorEmail: info@nsjbio.com
  • Tel: 858.663.9055
  • Email: info@nsjbio.com
Home >> Antibodies >> Anti Mullerian Hormone Antibody / AMH

Anti Mullerian Hormone Antibody / AMH [clone AMH/7354] (V4593)

  Catalog No Formulation Size Price (USD)  
Image V4593-100UG 0.2 mg/ml in 1X PBS with 0.1 mg/ml BSA (US sourced), 0.05% sodium azide 100 ug 539
Image
V4593-20UG 0.2 mg/ml in 1X PBS with 0.1 mg/ml BSA (US sourced), 0.05% sodium azide 20 ug 249
Image
V4593SAF-100UG 1 mg/ml in 1X PBS; BSA free, sodium azide free 100 ug 539
Bulk quote request
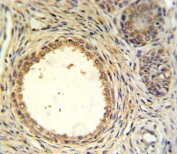
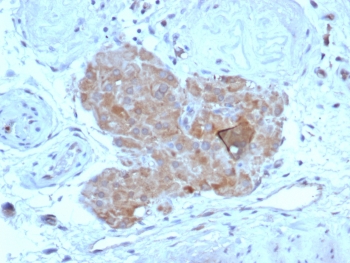
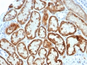
IHC staining of FFPE human testis tissue with Anti-Mullerian Hormone antibody (clone AMH/7354). HIER: boil tissue sections in pH 9 10mM Tris with 1mM EDTA for 20 min and allow to cool before testing.
SDS-PAGE analysis of purified, BSA-free Anti-Mullerian Hormone antibody (clone AMH/7354) as confirmation of integrity and purity.
Availability 1-3 business days
Species Reactivity Human
Format Purified
Clonality Monoclonal (mouse origin)
Isotype Mouse IgG1, kappa
Clone Name AMH/7354
Purity Protein A/G affinity
UniProt P03971
Localization Secreted
Applications Immunohistochemistry (FFPE) : 1-2ug/ml for 30 min at RT
Limitations This Anti Mullerian Hormone antibody is available for research use only.
Review this product on BioCompare and get a $20 Amazon gift card

Related Products

Description

The transforming growth factor beta (TGF beta) superfamily is composed of numerous growth and differentiation factors, including TGF beta1-3, Mullerian inhibiting substance (MIS), growth/differentiation factor (GDF) 1-9, bone morphogenic protein (BMP) 2-8, glial cell line-derived neurotrophic factor (GDNF), Inhibin Alpha, beta-A, beta-B and beta-C, Lefty and Nodal. Members of the TGF beta superfamily are involved in embryonic development and adult tissue homeostasis. The MIS glycoprotein is produced by the Sertoli cells of the testes. Fetal testes produce both MIS and testosterone, the presence of which result in male offspring. Absence of MIS and testosterone in a developing fetus results in the induction of Mullerian duct differentiation, and Wolffian duct development is not induced. Testosterone induces the differentiation of the Wolffian ducts whereas MIS causes regression of the Muellerian duct. MIS inhibits the growth of tumors derived from tissues of Mullerian duct origin. MIS can also inhibit the autophosphorylation of the EGF receptor in vitro. Defects in anti-Muellerian hormone are the cause of persistent Muellerian duct syndrome type I (PMDS-1). PMDS-1 is a form of male pseudo hermaphroditism characterized by a failure of Muellerian duct regression in otherwise normal males.

Application Notes

Optimal dilution of the Anti Mullerian Hormone antibody should be determined by the researcher.

Immunogen

A recombinant fragment of the C-terminus of the human protein (within amino acids 460-560) was used as the immunogen for the Anti Mullerian Hormone antibody.

Storage

Aliquot the Anti Mullerian Hormone antibody and store frozen at -20oC or colder. Avoid repeated freeze-thaw cycles.

Cross
Bulk Quote Request Form
Name*:
Organization*:
Email*:
Phone Number*:
Catalog No.*:
Comments and Specifics(amount, formulation, etc.)*:
Validation code: Captchapackage Image


Can't read the image? click here to refresh.
    *required field

Your bulk quote request has been submitted successfully!

Please contact us if you have any questions.