• Tel: 858.663.9055
  • SeparatorEmail: info@nsjbio.com
  • Tel: 858.663.9055
  • Email: info@nsjbio.com
Home >> Antibodies >> Anti-Muellerian Hormone Antibody / AMH / MIF

Anti-Muellerian Hormone Antibody / AMH / MIF [clone AMH/300] (V9340)

  Catalog No Formulation Size Price (USD)  
Image V9340-100UG 0.2 mg/ml in 1X PBS with 0.1 mg/ml BSA (US sourced), 0.05% sodium azide 100 ug 539
Image
V9340-20UG 0.2 mg/ml in 1X PBS with 0.1 mg/ml BSA (US sourced), 0.05% sodium azide 20 ug 249
Image
V9340SAF-100UG 1 mg/ml in 1X PBS; BSA free, sodium azide free 100 ug 539
Bulk quote request
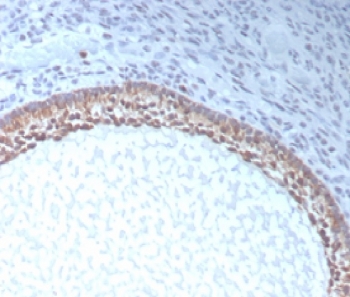
IHC staining of FFPE human ovarian tissue with Anti-Mullerian Hormone antibody (clone AMH/300). HIER: boil tissue sections in pH 9 10mM Tris with 1mM EDTA for 20 min and allow to cool before testing.
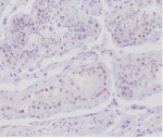
IHC staining of FFPE human testis tissue with Anti-Mullerian Hormone antibody (clone AMH/300). HIER: boil tissue sections in pH 9 10mM Tris with 1mM EDTA for 20 min and allow to cool before testing.
SDS-PAGE analysis of purified, BSA-free Anti-Muellerian Hormone antibody (clone AMH/300) as confirmation of integrity and purity.
Availability 1-3 business days
Species Reactivity Human
Format Purified
Clonality Monoclonal (mouse origin)
Isotype Mouse IgG1, kappa
Clone Name AMH/300
Purity Protein A/G affinity
UniProt P03971
Localization Secreted
Applications Western Blot : 1-2ug/ml
Immunohistochemistry (FFPE) : 1-2ug/ml
Limitations This Anti-Muellerian Hormone antibody is available for research use only.
Review this product on BioCompare and get a $20 Amazon gift card

Related Products

Description

This glycoprotein, produced by the Sertoli cells of the testis, causes regression of the Muellerian duct. It is also able to inhibit the growth of tumors derived from tissues of Muellerian duct origin. [UniProt]

Application Notes

Optimal dilution of the Anti-Muellerian Hormone antibody should be determined by the researcher.

Immunogen

A portion of amino acids 460-560 was used as the immunogen for the Anti-Muellerian Hormone antibody.

Storage

Aliquot the Anti-Muellerian Hormone antibody and store frozen at -20oC or colder. Avoid repeated freeze-thaw cycles.

Cross
Bulk Quote Request Form
Name*:
Organization*:
Email*:
Phone Number*:
Catalog No.*:
Comments and Specifics(amount, formulation, etc.)*:
Validation code: Captchapackage Image


Can't read the image? click here to refresh.
    *required field

Your bulk quote request has been submitted successfully!

Please contact us if you have any questions.